症例詳細
-
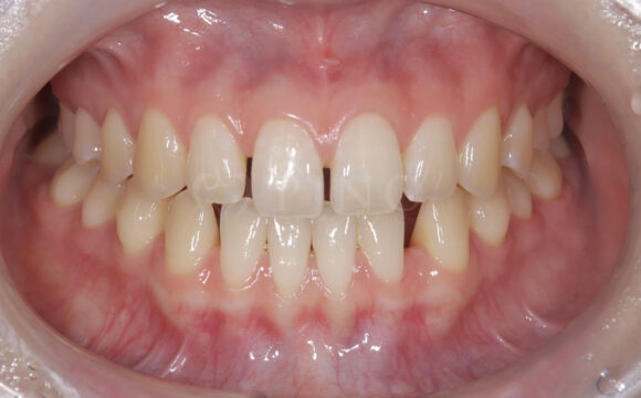
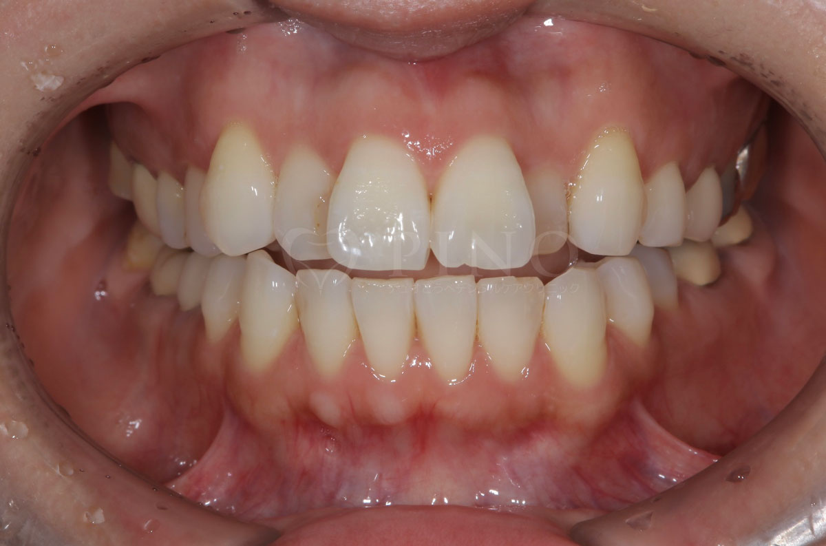
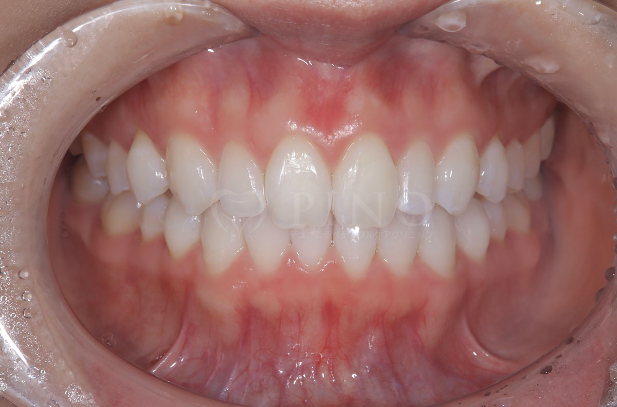
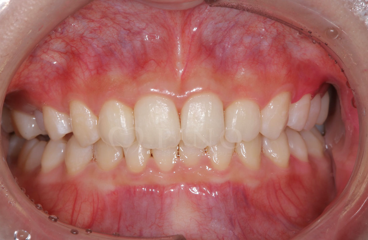
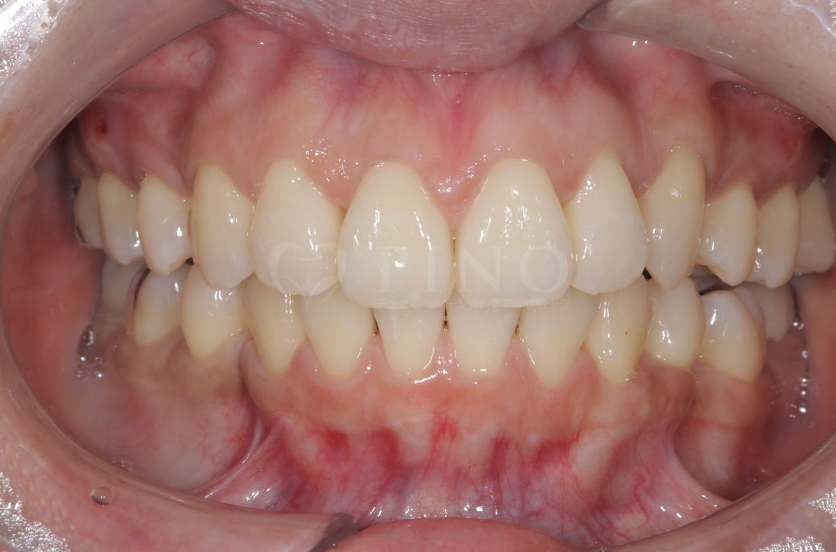
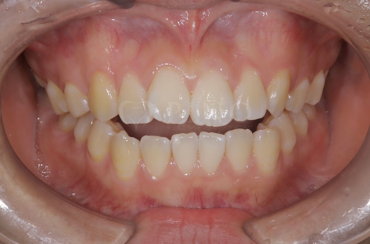
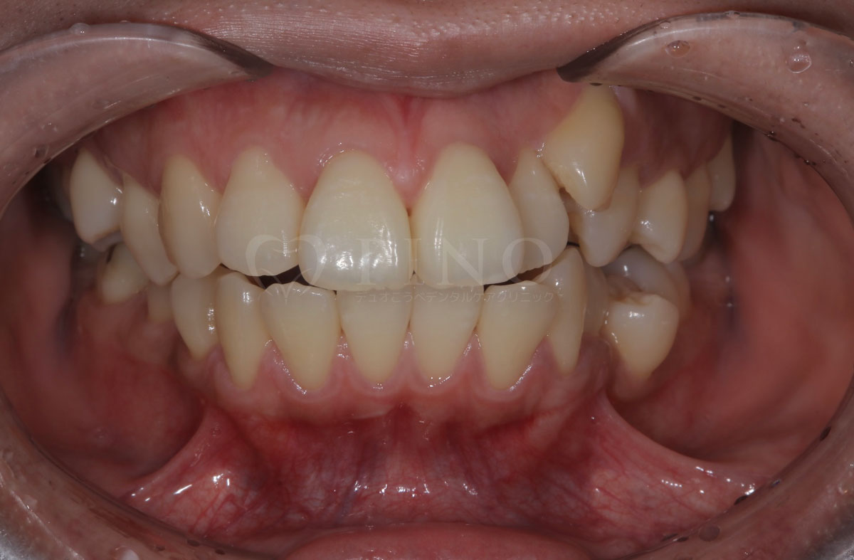
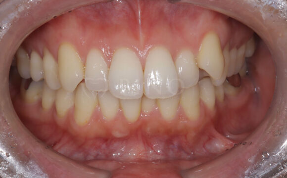
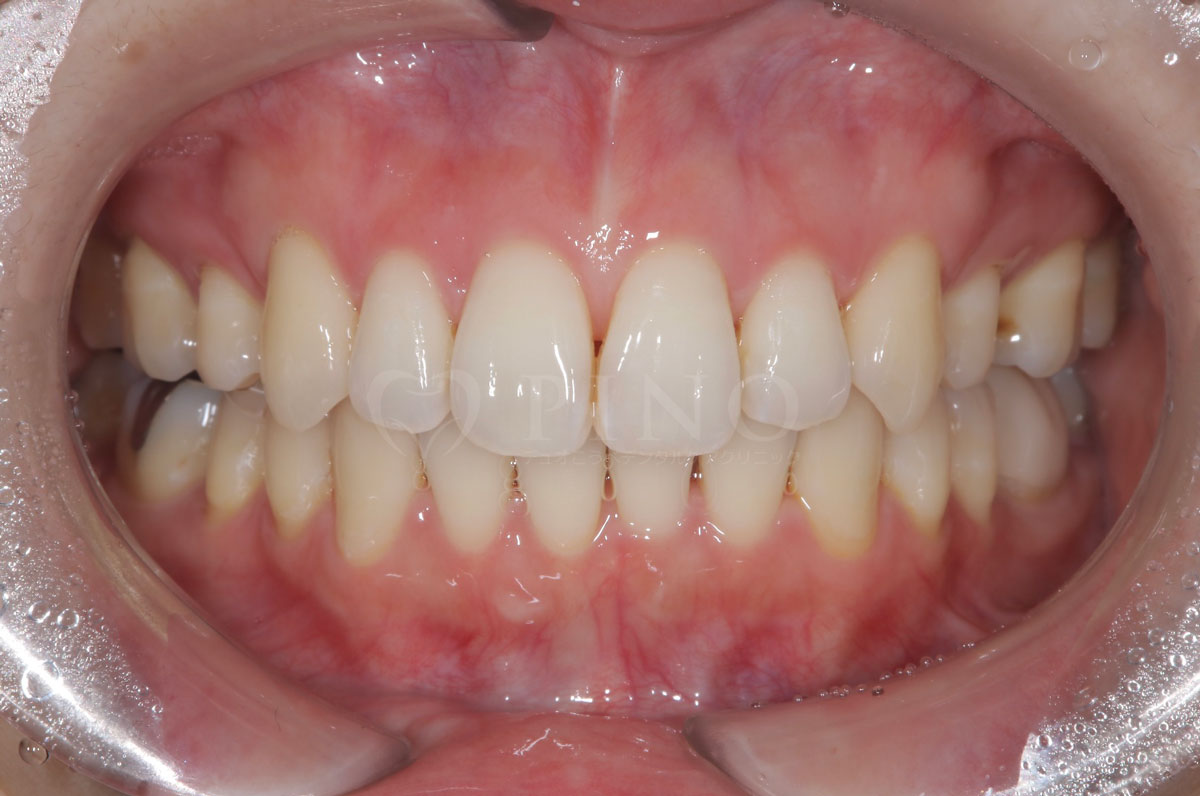
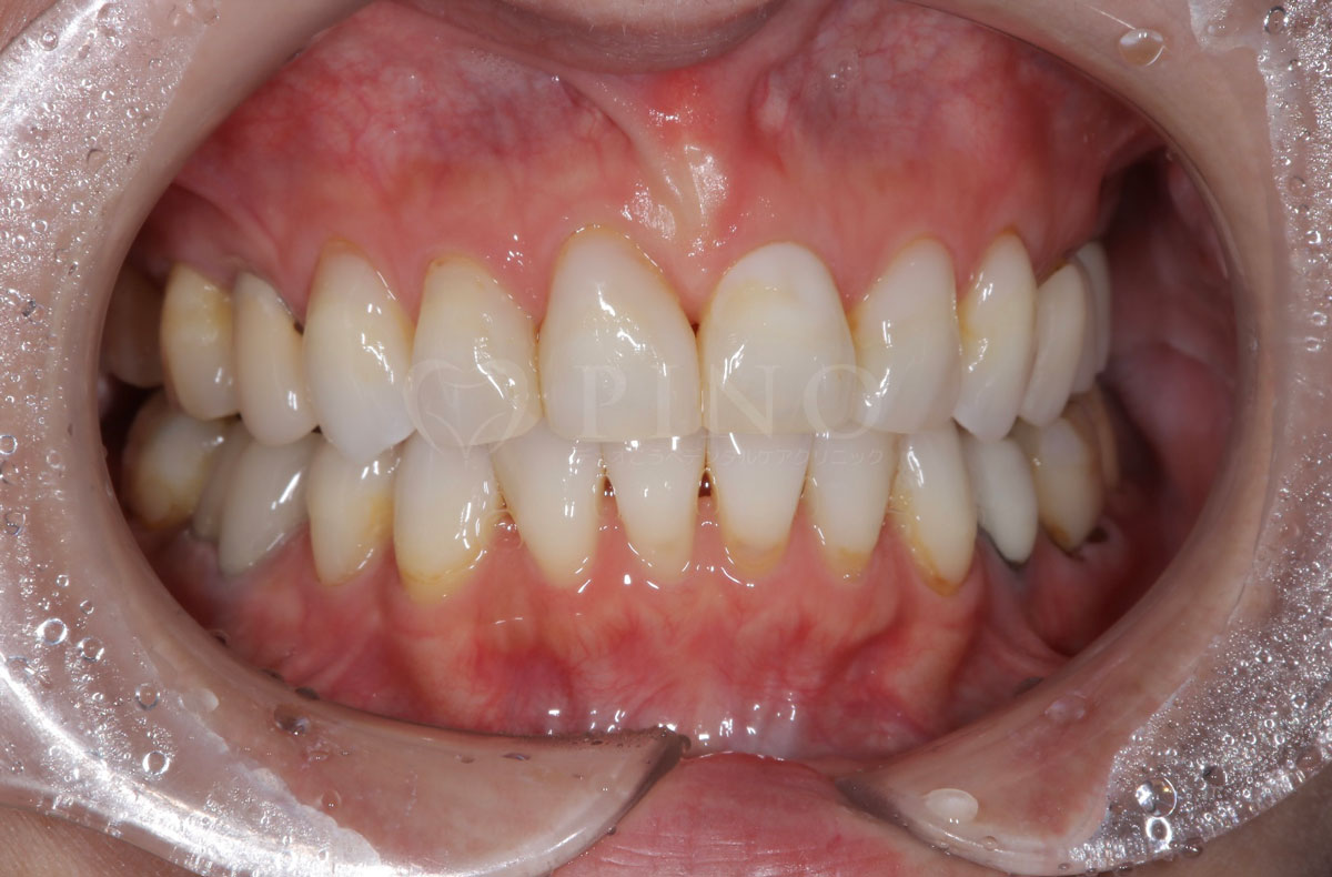
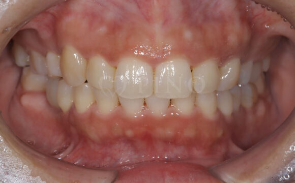
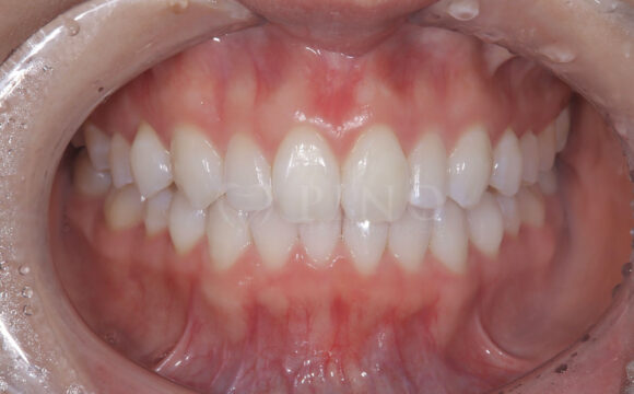
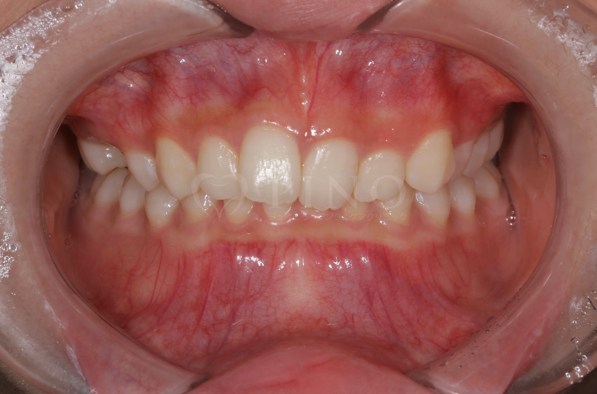
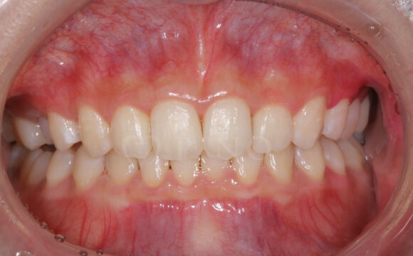
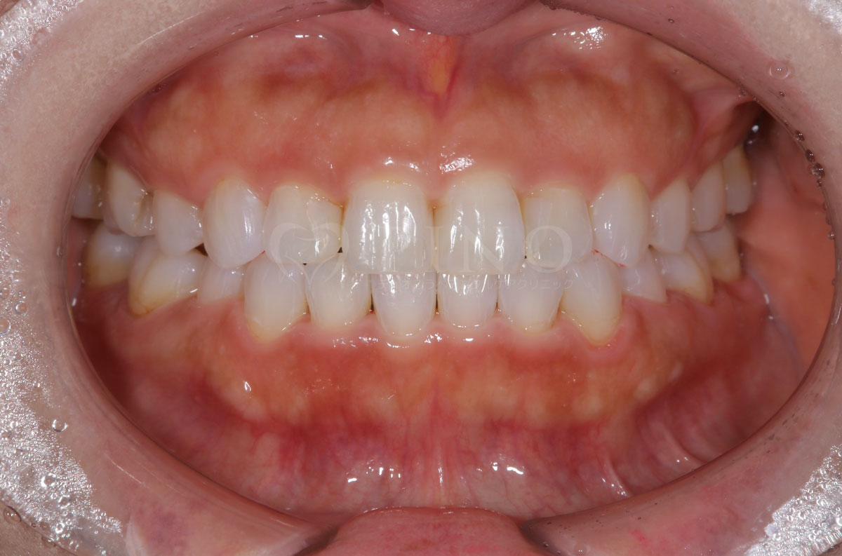
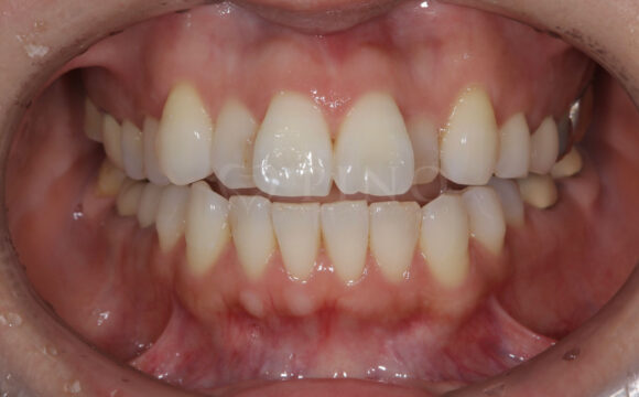
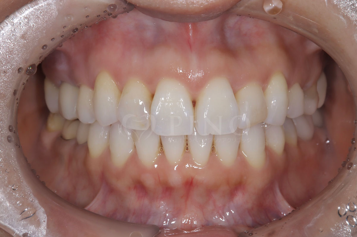
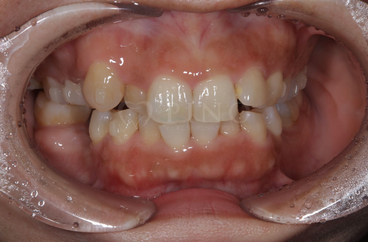
症例1:歯並びが気になる、歯がないところも治したい(50代女性)
主訴 歯並びが気になる、歯がないところも治したい 診断名 上顎前突、叢生、右下6欠損歯 治療方法 マウスピース全額矯正、インプラント 抜歯 あり 上2本 オルソパルス あり 治療期間 2年2ヶ月 費用 891,000円+インプラント400,000円 副作用・注意点 矯正後の後戻りを防ぐためリテーナーの使用が必要となる 備考 2年8ヶ月でインプラントも治療完了した -
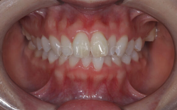
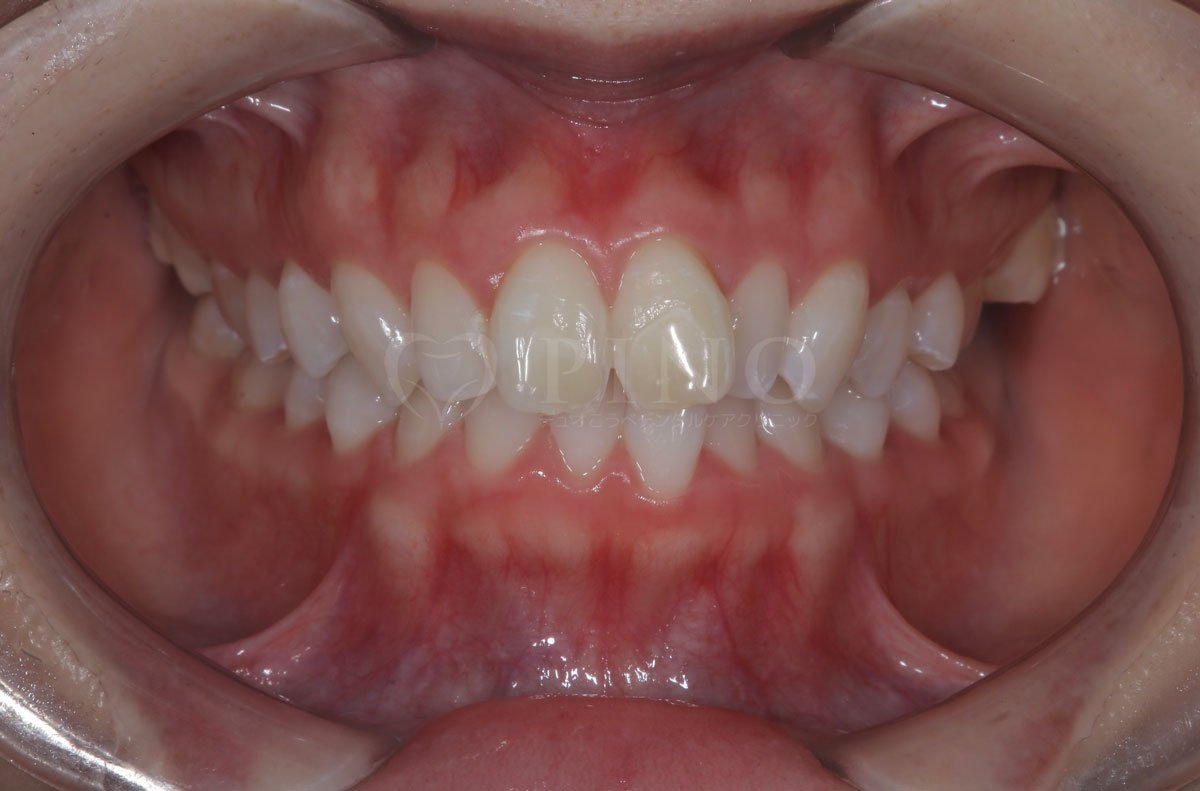
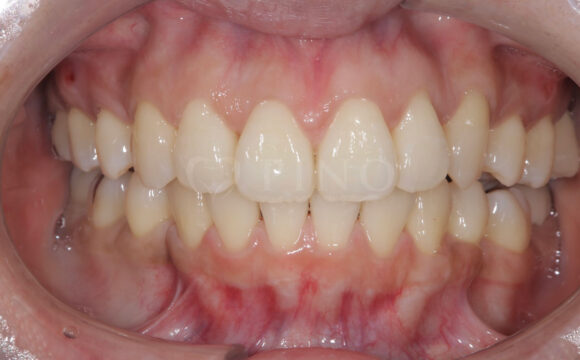
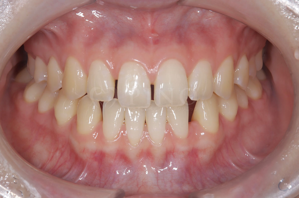
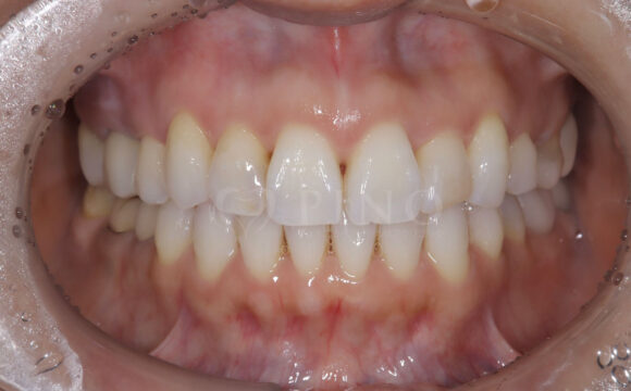
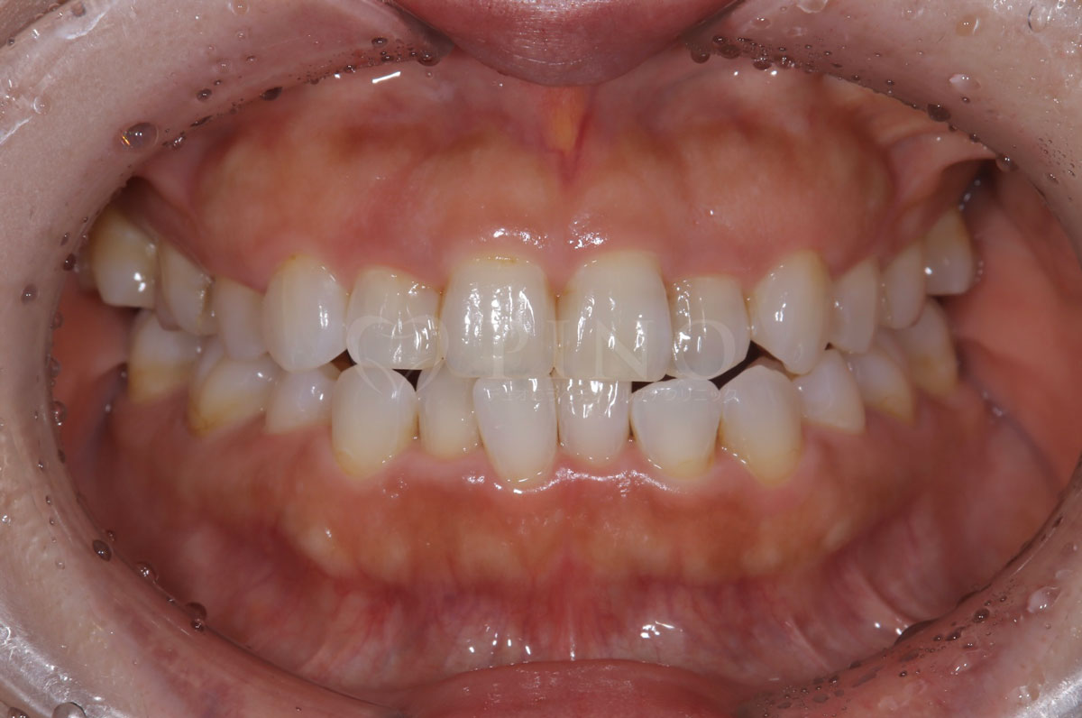
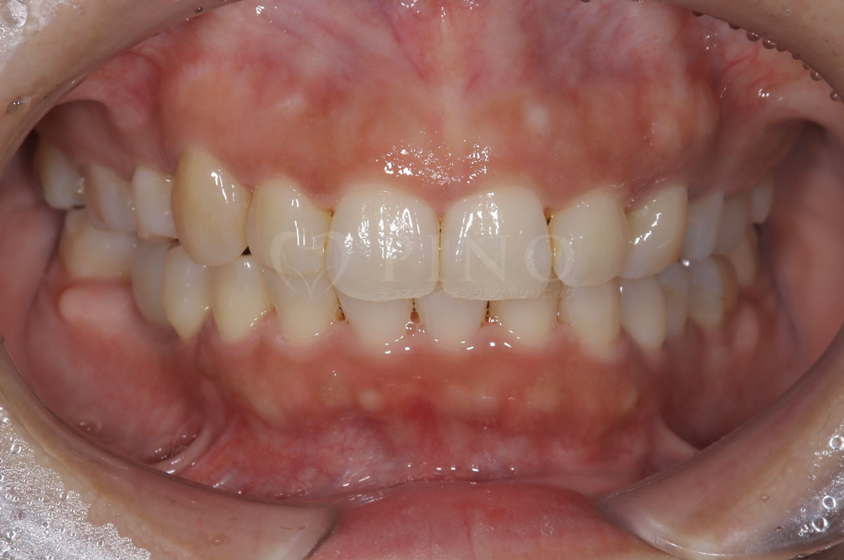
症例2:ワイヤー矯正後の後戻りが気になる(50代女性)
主訴 ワイヤー矯正後に後戻りが気になる 診断名 叢生 治療方法 マウスピース部分矯正 抜歯 なし オルソパルス なし 治療期間 10ヶ月 費用 436,000円+補綴費用360,000円 副作用・注意点 矯正後の後戻りを防ぐためリテーナーの使用が必要となる 備考 1年4ヶ月で補綴も完了した -
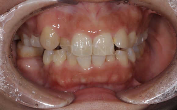
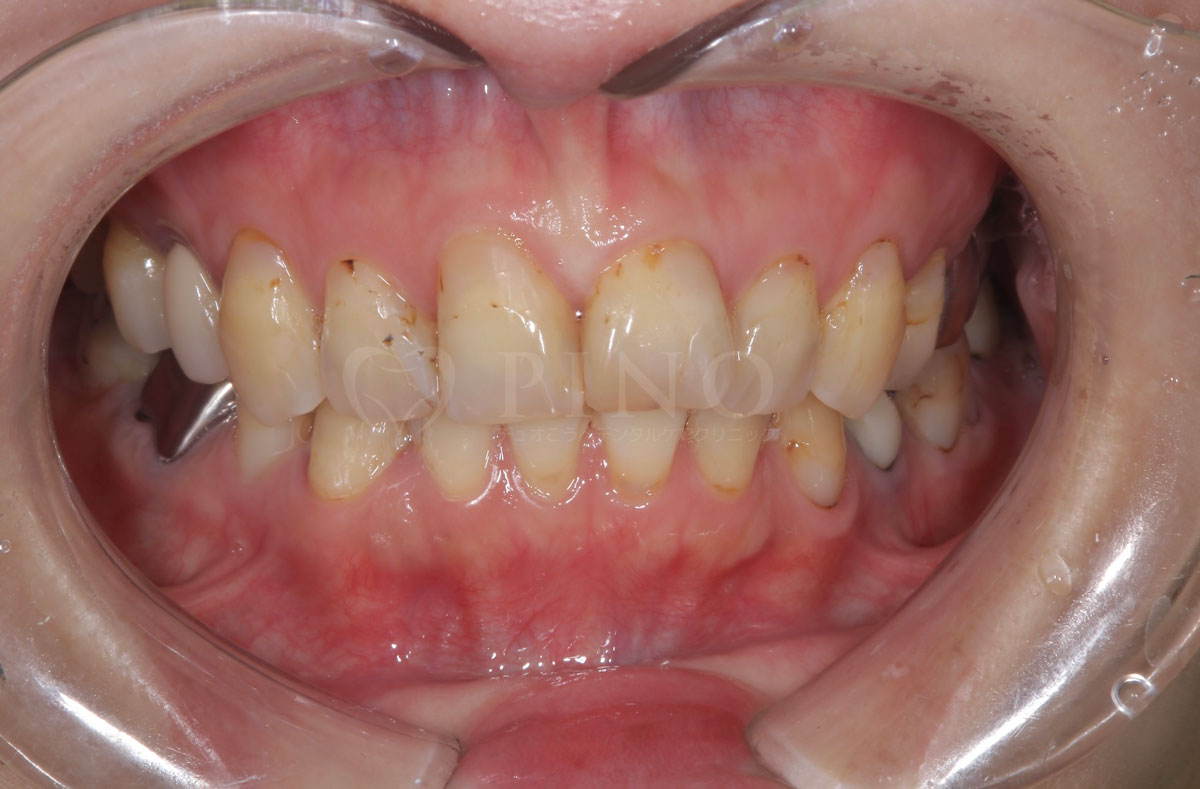
症例3:ワイヤー矯正後の後戻りが気になる(40代女性)
主訴 ワイヤー矯正後の後戻りが気になる 診断名 叢生 治療方法 マウスピース部分矯正 抜歯 なし オルソパルス なし 治療期間 9ヶ月 費用 436,000円 副作用・注意点 矯正後の後戻りを防ぐためリテーナーの使用が必要となる 備考 奥歯に噛み合わせ不良がない場合、部分矯正が適応となる -
症例4:噛み合わせが深く、下の歯が見えないのが気になる(10代女性)
主訴 噛み合わせが深い、下の歯が見えない 診断名 過蓋咬合(かがいこうごう) 治療方法 マウスピース全顎矯正 抜歯 なし オルソパルス なし 治療期間 1年1ヶ月 費用 746,000円 副作用・注意点 矯正後の後戻りを防ぐためリテーナーの使用が必要となる -
症例5:前歯が噛み合わないのが気になる(20代女性)
主訴 前歯が噛み合わないのが気になる 診断名 開咬 治療方法 マウスピース全顎矯正 抜歯 なし オルソパルス なし 治療期間 1年2ヶ月 費用 749,000円 副作用・注意点 非抜歯での治療のため、歯と歯の間をわずかに削る必要がある、矯正後の後戻りを防ぐためリテーナーの使用が必要となる 備考 奥歯に噛み合わせ不良がない場合、部分矯正が適応となる -
症例6:すきっ歯が気になる(20代女性)
主訴 すきっ歯が気になる 診断名 空隙歯列 治療方法 マウスピース全顎矯正 抜歯 なし オルソパルス なし 治療期間 8ヶ月 費用 436,000円 副作用・注意点 矯正後の後戻りを防ぐためリテーナーの使用が必要となる 備考 ホワイトニングも並行して行った、奥歯に噛み合わせ不良がない場合、部分矯正が適応となる -
症例7:口元が出ている(出っ歯、口ゴボ)のが気になる(20代女性)
主訴 口元が出ている(出っ歯、口ゴボ)のが気になる 診断名 上顎前突 治療方法 マウスピース全顎矯正 抜歯 なし オルソパルス あり 治療期間 1年11ヶ月 費用 749,000円 副作用・注意点 非抜歯での治療のため、歯と歯の間をわずかに削る必要がある、矯正後の後戻りを防ぐためリテーナーの使用が必要となる 備考 ホワイトニングも並行して行った -
症例8:歯が全体的にガタガタして気になる(30代女性)
主訴 歯が全体的にガタガタして気になる 診断名 上下顎1級叢生 治療方法 マウスピース全顎矯正 抜歯 あり 上2本 オルソパルス あり 治療期間 1年5ヶ月 費用 891,000円+補綴治療費(セラミック320,000円) 副作用・注意点 歯を抜く際に痛みを伴う可能性がある、矯正後後戻りを防ぐためリテーナーの使用が必要となる -
症例9:歯が全体的にガタガタして気になる(30代女性)
主訴 歯が全体的にガタガタして気になる 診断名 上下顎1級叢生 治療方法 マウスピース全顎矯正 抜歯 あり4本 オルソパルス なし 治療期間 1年8ヶ月 費用 749,000円 副作用・注意点 歯を抜く際に痛みを伴う可能性がある、矯正後後戻りを防ぐためリテーナーの使用が必要となる 備考 ホワイトニングも並行して行った -
症例10:八重歯と歯がガタガタして気になる(20代女性)
主訴 八重歯と歯がガタガタして気になる 診断名 上下顎1級叢生 治療方法 マウスピース全顎矯正・インプラントアンカー使用 抜歯 あり オルソパルス あり 治療期間 2年6ヶ月 費用 891,000円 副作用・注意点 歯を抜く際に痛みを伴う可能性がある、矯正後後戻りを防ぐためリテーナーの使用が必要となる -
症例11:前歯の隙間(すきっ歯)が気になる(20代男性)
主訴 前歯の隙間(すきっ歯)が気になる 診断名 空隙歯列 治療方法 マウスピース矯正(部分矯正) 抜歯 なし オルソパルス なし 治療期間 10ヶ月 費用 436,000円 副作用・注意点 矯正後の後戻りを防ぐためリテーナーの使用が必要となる 備考 奥歯の噛み合わせに問題がない場合、部分矯正が適応となる -
症例12:噛み合わせが深く、下の歯が見えないのが気になる(20代男性)
主訴 噛み合わせが深く、下の歯が見えないのが気になる 診断名 過蓋咬合(かがいこうごう)、顎関節後方転位 治療方法 マウスピース矯正、補綴治療(被せ物、詰め物の治療) 抜歯 なし オルソパルス あり 治療期間 2年 費用 746,000円 + 165,000円(オルソパルス)+ 補綴費用(保険診療) 副作用・注意点 矯正後の後戻りを防ぐためリテーナーの使用が必要となる、詰め物の変色が起こる可能性がある 備考 下顎の位置を正しい位置にするためにスプリントを使用した。ホワイトニングも併用。
