FEATURESPINOの6つの特徴
診療、治療、医院立地といった細部にまでこだわりを持っています。
-

目立たない
マウスピース矯正1透明なマウスピースで歯を動かす、目立たなくて快適な矯正「インビザライン」を取り扱っております。実績豊富で信頼性が高い矯正方法です。
-

しみない
ホワイトニング2患者さまのニーズに合わせてホワイトニングの方法をご提案します。低濃度薬剤を用い、しみない方法でじっくりと歯を白くしていくことも可能です。
-

快適な
クリーニング3エアフローを使ったパウダークリーニングは、歯や被せ物に触れず優しく汚れを除去。従来のクリーニングに苦手意識のある方にもおすすめです。
-

国家資格保有者による
治療4資格を持った医師と歯科衛生士が在籍しており、患者さまのお悩みに丁寧に寄り添います。初めての方も安心してご来院いただけます。
-

駅直結で徒歩1分
土日祝も診療5JR神戸駅・高速神戸駅から医院までが地下で直結しています。土日祝も診療していますので、美容院のように気軽に通っていただけます。
-

医療法人社団
松村歯科医院と連携6施術の前に、歯科医師がお口の健康状態を確認し、治療が必要な際はスムーズにご案内いたします。異常がある場合は早期発見につながります。
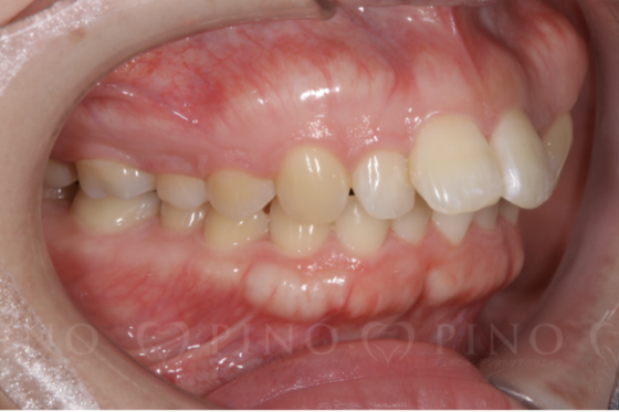
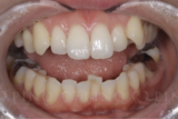
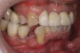
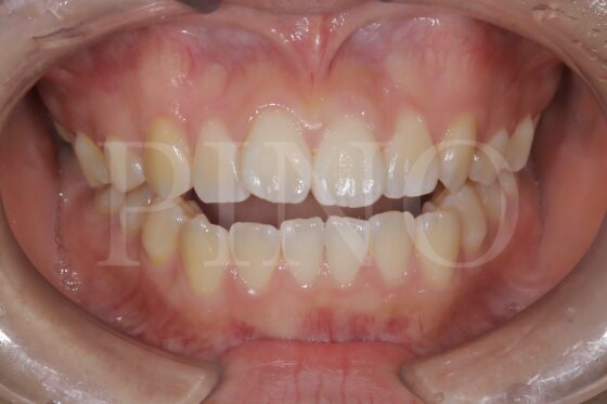
CASE症例集
年間の治療実績

DOCTOR医師紹介
人に笑顔を与える仕事。
これが私が歯科医師になった理由です。
これまで歯が綺麗になったと、笑顔で喜んでくださる患者さまにたくさん出会うことができました。そして私自身、皆さまから笑顔にさせていただいていることを実感する日々です。
ホワイトニングやクリーニングを通して歯を綺麗にすることは、お身体の健康にも繋がります。皆さまから健康で素敵な笑顔がひろがりますように‼
PINO BLOGブログ
2026.03.26 【神戸】ホワイトニングができない人の特徴とは?持病や妊娠中の対処法を歯科医が解説
皆さま、こんにちは!ホワイトニングをしたいけど、持病がある場合はで...
-
2026.03.12 マウスピース矯正を始めるなら!準備しておくものリスト
目次マウスピース矯正中の持ち物って?オススメの持ち歩き...
-
2026.03.05 マウスピース矯正中でも旅行は楽しめる!食べ歩きや装着時間のルールを神戸の歯科医が解説!
目次旅行中のマウスピース矯正の不安を解消!管理の基本歯磨...
-
2026.02.26 今さら遅い?大人のマウスピース矯正 | 後戻りや歯周病リスクを神戸の歯科医が解説!
皆さま、こんにちは!早速ですが、歯並び矯正は「小さい頃に...
| 営業日 | 月 | 火 | 水 | 木 | 金 | 土 | 日 |
|---|---|---|---|---|---|---|---|
| 毎週水曜定休 | ● | ● | – | ● | ● | ● | ● |
平日:10:00〜13:00、14:30〜19:00
土日祝:10:00〜13:00、14:30〜18:00
休診日:水曜日
電話 078-515-6560
住所 〒650-0025 神戸市中央区相生町3-2-1
最寄駅 JR神戸駅、高速神戸駅より徒歩1分
















公式Instagram
公式YouTube





