症例詳細
-
症例1:神経が死んで、1本だけ歯の色が違うのが気になる(40代女性)
主訴 1本だけ歯の色が違う 診断名 神経が死んでしまったことによる変色 原因 神経が死んでしまったことによる変色 治療期間 ウォーキングブリーチ、オフィスホワイトニング 5回 費用 ウォーキングブリーチ 33,000円 + ホワイトニング2ヶ月コース 94,500円 副作用・注意点 歯質が残っていない場合は難しい、漂白の効果が出にくい場合は補綴治療が必要となる場合がある 備考 ホームホワイトニング併用 -
症例2:歯が茶色い。黄ばみが気になる(50代女性)
主訴 歯が茶色い。黄ばみが気になる 診断名 テトラサイクリン薬剤接種による黄ばみ 原因 テトラサイクリン薬剤接種による黄ばみ 治療期間 オフィスホワイトニング 7回 費用 ホワイトニング3ヶ月コース 116,000円 副作用・注意点 知覚過敏様症状が出る可能性がある、白くなる限度に個人差がある 備考 ホームホワイトニング併用 -
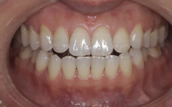
症例3:歯の黄ばみが気になる(20代女性)
主訴 歯の黄ばみが気になる 診断名 歯の内部の黄ばみ 原因 歯の内部の黄ばみ 治療期間 オフィスホワイトニング 7回 費用 ホワイトニング3ヶ月コース 116,000円 副作用・注意点 知覚過敏様症状が出る可能性がある 備考 ホームホワイトニング併用 -
症例4:歯の黄ばみが気になる(20代男性)
主訴 歯の黄ばみが気になる 診断名 歯の内部の黄ばみ 原因 歯の内部の黄ばみ 治療期間 オフィスホワイトニング 3回 費用 ホワイトニング1ヶ月コース 71,000円 副作用・注意点 知覚過敏様症状が出る可能性がある 備考 ホームホワイトニング併用
