
こんなお悩みは、当院のマウスピース矯正で解決!
- 歯並びが悪く、思いきり笑うのが恥ずかしい
- ワイヤーは目立つから嫌
- 周りにバレないように矯正したい
- 口ゴボが気になる
- 矯正中の痛みが不安
- 人と話す仕事だから器具が目立つのが嫌
- もともと虫歯になりやすい
- 矯正後の後戻りが気になる
マウスピース矯正世界シェアNO.1のインビザラインを使用!
当院では、透明で取り外し可能なマウスピースによって歯並びを綺麗にするマウスピース矯正、インビザラインを取り扱っております。
ワイヤーやブラケットを使用せず、目立たないので会話の邪魔にもなりません。気になる矯正中の食事も快適です。
マウスピース矯正で治療できる例

- 全体的に歯並びがガタガタ
- 前歯がガタガタ(八重歯が気になる)
- 前歯が出ている(出っ歯)
- 上の前歯より下の前歯が前にきている(受け口)
- 歯と歯の間に隙間がある(すきっ歯)
- 前歯が噛み合わない(開咬)
- 子供の矯正(歯の交換期)
ご自身の歯はマウスピース矯正では治らない、と思っていませんか?
近年ではマウスピース矯正では難しいと言われていた症例にも、きちんとした診断のもと治療計画を立てていくことで対応できるようになりました。
カウンセリングにお越しいただくことで、歯並びが悪くなった原因をお伝えし治療期間や治療費などのご説明が可能です。さらに治療後の口のイメージをシミュレーション画像でお見せすることも可能です!
お気軽にご相談ください。
PINOのマウスピース矯正 5つの特徴
当院では矯正をお考えの皆さまの不安やお悩みに寄り添い、内容にご納得いただいた上で治療をスタートすることを心がけています。

パウダークリーニング付き!
調整日には当院大人気メニューのパウダークリーニングが付いています。矯正治療中の気になる歯の汚れを落とし、虫歯・歯周病も予防できて安心です。
(料金は調整料に含まれます)

医療法人社団 松村歯科医院と連携!
当院から徒歩すぐの松村歯科医院と連携しており、矯正に必要な治療にも対応しております。矯正前の抜歯や、治療中の虫歯にも即対応いたします。

追加費用なしで安心!
治療途中でアンカースクリューやワイヤーが必要になっても追加費用は一切ございません。
治療前に明確な料金をご説明いたします。

オルソパルスで期間短縮も可能!
当院では歯の動きを加速させたり、治療中の痛みを和らげる効果のあるオルソパルスを導入しております。これにより、交換時の違和感を軽減でき、治療期間の短縮も可能です。

院長もマウスピース矯正経験者!
院長もマウスピース矯正を経験済み!治療時の不安ごとや、お悩みも安心してご相談いただけます。矯正による口元や横顔の変化、抜歯、非抜歯の比較もわかりやすくお伝えいたします。
マウスピース矯正治療の料金
| 部分矯正 | 全顎矯正 | |
| カウンセリング | 無料 | 無料 |
| 診断料 | 44,000円 | 44,000円 |
| アライナー片顎 | 396,000円 | ー |
| アライナー両顎 | 436,000円 | 746,000円 |
| リテーナー | 片顎33,000円 両顎55,000円 |
55,000円 |
| オルソパルス | ー | 165,000円 |
| 調整料 | 5,500円 | 5,500円 |
矯正治療が終了した後は、リテーナーと呼ばれる後戻りを予防するマウスピースを装着いただき、定期的に噛み合わせの異常がないか確認いたします。(2~3ヶ月おき)
矯正治療終了後は定期クリーニングとして、2年間通常14,300円のパウダークリーニングを5,500円でご案内いたします。
※マウスピースの紛失・破損等により、追加アライナーが必要となった場合は追加アライナー作製料1枚7,700円が別途必要となります。
※装置調整料5,500円/月はパウダークリーニング付きとなります。
※オルソパルスとは矯正期間を短縮できる補助装置です。
*マウスピース矯正の治療費はデンタルローンでのお支払いも可能です。
詳細はこちらのホームページをご覧ください。
症例紹介
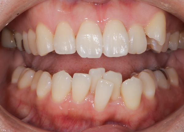
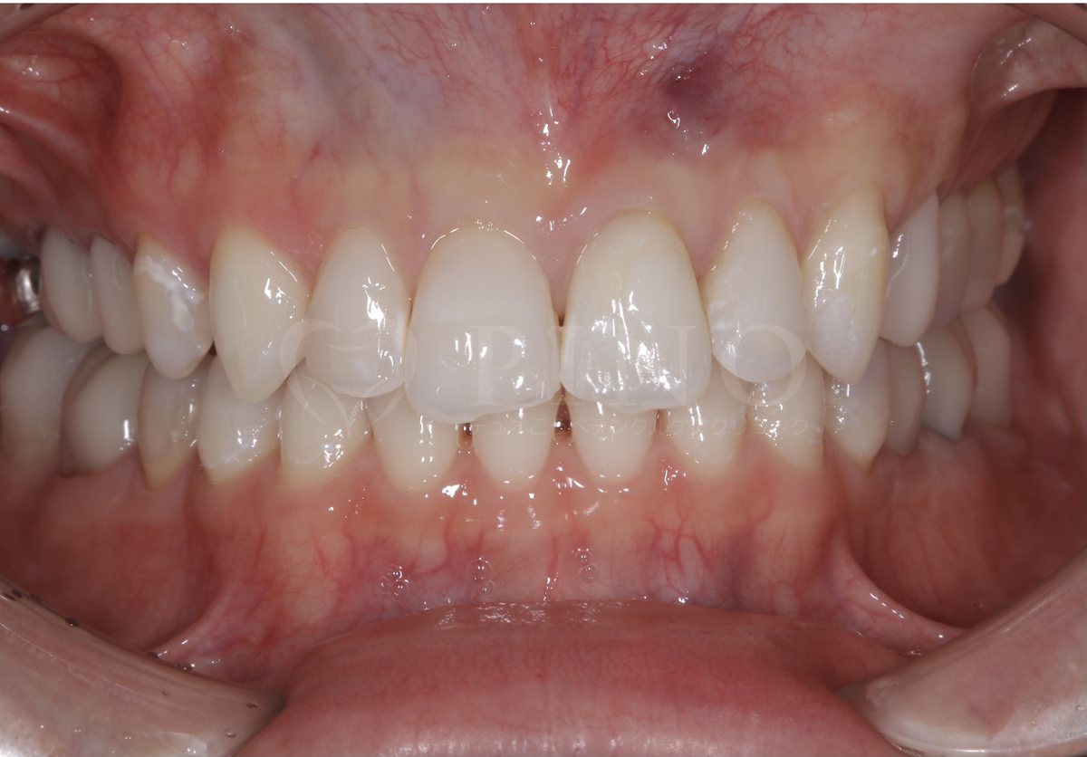
CASE 20代・女性
Before

After

| 主訴 | 前歯が気になる |
|---|---|
| 診断名 | 上下顎1級叢生 |
| 治療方法 | マウスピース矯正(全顎矯正)、インプラントアンカー使用 |
| 抜歯 | あり 左右第2大臼歯の抜歯 |
| オルソパルス | あり |
| 治療期間 | 1年2ヶ月 |
| 費用 | 746,000円 + 165,000円(オルソパルス) |
| デメリット・注意点 | 歯を抜く際に痛みを伴う可能性がある 矯正後後戻りを防ぐためリテーナーの使用が必要となる |
| 備考 | ホワイトニングも併用して行った |
CASE 20代・女性
Before

After

| 主訴 | 前歯が噛みわない、顎が痛い |
|---|---|
| 診断名 | 開咬、叢生、顎関節症 |
| 治療方法 | マウスピース矯正(全顎矯正) |
| 抜歯 | あり 左右第1小臼歯の抜歯 |
| オルソパルス | あり |
| 治療期間 | 1年8ヶ月 |
| 費用 | 746,000円 + 165,000円(オルソパルス) |
| デメリット・注意点 | 歯を抜く際に痛みを伴う可能性がある 矯正後後戻りを防ぐためリテーナーの使用が必要となる |
| 備考 | 顎関節症に対しボツリヌス治療後、矯正治療を行った |
CASE 20代・男性
Before

After

| 主訴 | 噛み合わせ悪い |
|---|---|
| 診断名 | 下顎前突 |
| 治療方法 | マウスピース矯正(全顎矯正) |
| 抜歯 | あり 左右下顎第1小臼歯 |
| オルソパルス | あり |
| 治療期間 | 1年7ヶ月 |
| 費用 | 746,000円 + 165,000円(オルソパルス) |
| デメリット・注意点 | 歯を抜く際に痛みを伴う可能性がある 矯正後後戻りを防ぐためリテーナーの使用が必要となる |
CASE 50代・女性
Before

After

| 主訴 | 出っ歯 |
|---|---|
| 診断名 | 上顎前突 |
| 治療方法 | マウスピース矯正(全顎矯正) |
| 抜歯 | なし |
| オルソパルス | なし |
| 治療期間 | 2年3ヶ月 |
| 費用 | 746,000円 |
| デメリット・注意点 | 非抜歯での治療のため、歯と歯の間をわずかに削る必要がある 矯正後の後戻りを防ぐためリテーナーの使用が必要となる |
| 備考 | ホワイトニングも併用して行った |
CASE 20代・男性
Before

After

| 主訴 | 噛み合わせが悪い |
|---|---|
| 診断名 | 過蓋咬合(かがいこうごう)、顎関節後方転位 |
| 治療方法 | マウスピース矯正、補綴治療(被せ物、詰め物の治療) |
| 抜歯 | なし |
| オルソパルス | あり |
| 治療期間 | 2年 |
| 費用 | 746,000円 + 165,000円(オルソパルス)+ 補綴費用(保険診療) |
| デメリット・注意点 | 矯正後の後戻りを防ぐためリテーナーの使用が必要となる 詰め物の変色が起こる可能性がある |
| 備考 |
下顎の位置を正しい位置にするためにスプリントを使用した
ホワイトニングも併用 |
CASE 20代・男性
Before

After

| 主訴 | 前歯の隙間が気になる |
|---|---|
| 診断名 | 空隙歯列 |
| 治療方法 | マウスピース矯正(部分矯正) |
| 抜歯 | なし |
| オルソパルス | なし |
| 治療期間 | 10ヶ月 |
| 費用 | 436,000円 |
| デメリット・注意点 | 矯正後の後戻りを防ぐためリテーナーの使用が必要となる |
| 備考 | 奥歯の噛み合わせに問題がない場合、部分矯正が適応となる |
よくあるご質問
Q どんな歯並びでもマウスピース矯正で治せますか?
全顎矯正の場合は奥歯まで含めた矯正治療が可能です。部分矯正の場合は前歯部の10本まで動かすことができます。
今まで難しいとされていた受け口や出っ歯もマウスピース矯正での治療が可能となっています。抜歯適応の場合でもマウスピースだけで治療が可能です。
Q どれくらいの治療期間がかかりますか?
平均治療期間は1〜2年です。
全顎矯正の場合はシミュレーションを行なって効率良く歯を動かしていくので、治療期間はワイヤー矯正と比較して同じか短くなる場合もあります。
部分矯正の場合はアライナーの上限がありますので、個人差はありますが、半年から1年程度です。
またオルソパルスをご使用いただくことにより、治療計画通りに歯を動かすこともできるため、治療期間を半年程度短縮することが可能です。
※診断を行うことで、正式な期間をお伝えすることができます。
Q 痛みはありますか?
従来のワイヤー矯正装置よりも痛みや不快感が少ないとされています。
新しいマウスピースに交換した直後は、少しの圧迫感や違和感を感じることはあります。しかし装着時間を守っていただき、数日使用いただくことで軽減していきます。
またオルソパルスをご使用いただくと、さらに圧迫感が軽減されます。
Q ホワイトニングもしたいのですが?
当院では、矯正治療を行いながらホワイトニングの併用が可能です。
矯正治療の方にはホワイトニングジェルを無料で2週間分お渡ししております。
ホワイトニングの知識の豊富なスタッフが対応いたしますので、無理なく理想の白さになれるようサポートいたします。
Q 虫歯があっても治療できますか?
虫歯があるかどうかも含めて始めに検査を行いますので、まずはご相談ください。
矯正中に治療が必要となった場合も、本院の松村歯科医院にてすぐ対応いたします。
矯正治療中に虫歯が見つかった場合も、すぐ対応いたしますのでご安心ください。
また院長は口腔外科に勤務していたため、虫歯治療だけでなく親知らずの抜歯もお任せいただけます。
複数の病院に行く必要がありませんので、安心して矯正治療を進めることができます。
Q 通院回数を減らしたいのですが?
マウスピース矯正であれば、従来のワイヤー矯正より通院回数が少なく済みます。
マウスピース矯正はご自身でマウスピースを交換しながら歯を動かしていく方法です。
治療計画によりますが、1ヶ月〜3ヶ月に1度受診いただき、クリーニングや調整、治療計画と歯の動きにズレがないか確認させていただいております。
当院でも遠方でご通院が難しい方には相談の上、オンラインでの診療も対応しておりますのでご安心ください。
Q 年齢に制限はありますか?
特に年齢制限はありません。
当院では50代、60代、70代でも治療をされた方がいらっしゃいます。
見た目はもちろんですが、歯磨きがしやすくなるため虫歯や歯周病のリスクを軽減できます。ただし、歯周病が進行していると、矯正治療のリスクが高まることがあります。
詳しくは歯科医師にご相談ください。
インビザラインとは

インビザラインは1999年からあるマウスピース矯正のひとつです。
その方に合ったオーダーメイドのマウスピースを作成し、装着することで歯を移動させていきます。
当院ではこのインビザラインシステムを用いたマウスピース矯正を行なっております。
多くの臨床データを基に研究が行われ最適なマウスピースが作られているため、豊富な実績と信頼があります。
- マウスピース矯正の世界シェアNO.1!
- 世界で1400万人の使用実績!
歯列矯正に不安がある方でも、安心して治療を受けていただけます!
インビザライン 4つの特徴

装置が透明で目立ちにくい
従来のワイヤー矯正と異なり、透明なマウスピースを装着して歯を動かしていきます。そのため矯正していることが目立ちにくく、ワイヤーが見えるのが嫌という方も安心して治療を行うことができます。

治療中の痛みが少ない
マウスピース矯正では、弱い力を持続的に加えることで歯を動かしていきます。マウスピースを交換した際に少しの圧迫感や違和感がありますが、従来の矯正よりも比較的痛みが少ないので安心です。

取り外しができて清潔
ワイヤー矯正では装置周りを歯ブラシで磨きにくいのも欠点のひとつでした。一方マウスピース矯正では装置を取り外して歯を磨けるので、お口の中を清潔に保つことができます。

通院回数が少なくて済む
マウスピース矯正では、歯の動きに合わせて歯科医師の指示通りにマウスピースの交換を進めます。矯正治療中の通院は1〜2ヶ月に1回程度なので、忙しい方でもご都合を合わせていただきやすいです。
マウスピース矯正とワイヤー矯正の比較
歯列矯正をお考えになる際、ワイヤー矯正とお悩みの方が多いのではないでしょうか。
ご自身のお口の状態やそれぞれの矯正のメリット・デメリットによって最適なものを選択しましょう。
矯正治療中も目立たず、違和感なく過ごしたい方は、ぜひマウスピース矯正をご検討いただければと思います。
|
|
|
|
|
装置の取り外し |
可 食事中や歯磨きの際は装置を外すことが可能 |
不可 |
|
目立ちにくさ |
透明素材で目立ちにくい! 会話中や笑ったときも矯正器具を気にする必要なし |
表側矯正はワイヤーが目立つ |
|
装着時の痛み |
ほとんどなし! ゆっくり歯を動かすため、痛みはほとんどなし |
調整後は強い痛みを伴う場合がある |
|
治療中の歯磨きのしやすさ |
通常時と変わらず! フロスを使えるので、歯と歯の間の汚れも取れてしっかり歯磨き可能 |
フロスが使えないので、器具の隙間、歯と歯の間の汚れが取れにくい |
|
治療中の虫歯のリスク |
通常時と変わらず! 矯正によってリスクが左右されることはなし |
磨き残しなどによるリスクが高まる |
|
金属アレルギー |
装置には金属不使用で心配なし! アレルギーの方も安心 |
注意が必要 |
|
通院間隔の目安 |
1~3ヵ月に1回程度! 通院頻度は比較的少なくすむ |
月に1回程度 |
|
治療期間の目安 |
1〜3年 ただし、オルソパルスを使用することにより期間短縮も可能 |
1~3年 |
|
症状の適応範囲 |
症状によっては難しい |
基本的にどんな症例にも対応 |
|
自己管理の必要性 |
マウスピースの装着時間や、交換日をご自身で管理していただく必要があります |
交換や調整は医院にお任せ |
全顎矯正と部分矯正の違い
全ての歯の矯正を行える全顎矯正と、前歯だけ部分的に矯正したい方も手軽に行える部分矯正の2種類があります。
全顎矯正
作成できるアライナー(マウスピース)の枚数が無制限です。
上下全体の矯正治療が必要な場合に適しています。
- 前歯だけでなく、奥歯の噛み合わせも含めて治したい
- 上下前歯の凸凹が大きい
- 噛み合わせが悪い
基本的に治療に時間がかかる状態の方は、全顎矯正がおすすめです。
治療が始まってからでも、治療経過に応じて計画の変更が可能です。
(治療開始より5年以内に限ります)
部分矯正
部分矯正は軽度の歯並びの不正がある場合に適しています。
- 前歯の部分的な矯正
- 治療計画が枚数制限の範囲内におさまる治療
- 上下の前歯10本までの矯正(上下両方でも、上下のどちらか一方のみでも可)
全顎矯正と比較して治療費や治療期間ともに抑えることが可能です。
早ければ半年で終了することもあります。
マウスピース矯正治療の流れ
-
- 1歯並びシミュレーション付き
無料カウンセリング -
アイテロと呼ばれる最新の3Dスキャンを用いて、口腔内を撮影し現在のお口の状態をわかりやすくお伝えいたします。さらに歯並びのシミュレーションを行うことで、矯正前後のイメージをその場ですぐご覧いただけます。
- 1歯並びシミュレーション付き
-
- 2矯正診断
3Dスキャンでの歯型採得、口腔内写真撮影、パノラマレントゲンだけでなく、CT、セファロ(横顔レントゲン)、歯周病検査、虫歯検査を行い、顔、顎関節、骨の状態も踏まえ治療計画を立てます。
-
- 3装置を作って治療開始
-
矯正治療に必要な処置を行い、マウスピースを装着いたします。
1日20時間の装着時間を守っていただき、ご自身でマウスピースを1〜2週間ごとに交換となります。
マウスピース矯正の注意事項
歯磨きと食事時以外1日20時間以上の装着が必要です。装着時間や方法が不適切であると、治療の効果が得られませんのでご注意ください。
マウスピース矯正
ワイヤー矯正 