目次
みなさま、こんにちは!
今回は当院の患者様にも聞かれる、マウスピース矯正の疑問についてお答えしていこうと思います!
これからマウスピース矯正を始める予定の方、マウスピース矯正を検討中の方の参考になれば嬉しいです!

マウスピース矯正の気になるQ&A
マウスピースって喋りづらい?電話・接客中も問題ない?
マウスピースをはめたままでお話しできるの?と疑問に思いますよね。
モゴモゴして話しづらそうだったり、滑舌が悪くなりそうなイメージをお持ちの方もいらっしゃると思います。
マウスピースを初めて付けた初日は違和感で、少し話しづらさはありますが、数十分で慣れるので大丈夫です!
実際に栄子院長や受付スタッフの私も仕事中にマウスピースを付けていますが、話しづらさもなく通常通りお話しできています!
電話の際も聞き返されることもなく、滑舌が悪くなったと言われたこともないのでご安心ください!
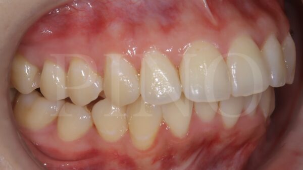
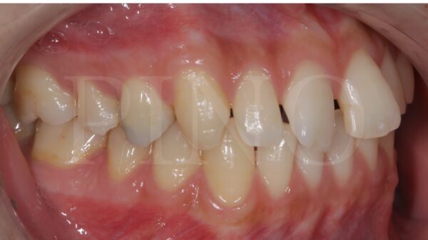
矯正治療で噛み合わせの改善はできる?
歯並びがよく見えても、実は噛み合わせが悪い場合があります。
この方は前から見ると矯正する必要あるの?と思うガタつきのない歯並びかもしれませんが、、

実は奥歯が全く噛んでいません。

奥歯でしっかり噛めていないと、よく噛めずに消化不良を起こしやすくなったり、他の歯に負担がかかったり、さらには顎関節症になるリスクも高まります。噛み合わせが悪いことで、肩こりや頭痛の原因になっているかもしれません。
このように噛み合わせに違和感がある方にも、歯列矯正で噛み合わせを改善することが可能ですのでご安心ください。
ただし、かみ合わせの改善を行う場合は、部分矯正では難しいため全体の矯正が必要となることもあります。
部分矯正でも治療可能?
前歯がガタついていたり、すきっ歯が気になるという方もいらっしゃいます。
部分矯正でどこまで改善できるのでしょうか?


基本的に奥歯の上下のかみ合わせに問題がなく、さらに口元の突出感がない場合は、部分矯正が適応可能です。その場合全体矯正よりも安価、短期間で歯科矯正を行うことができます!
詳しい矯正の料金に関しましては、こちらをご確認くださいませ♪
もしかすると今気になっている歯並びが部分矯正で可能な場合もございますので、矯正するかお悩み中の方はぜひお気軽に無料カウンセリングへお越しくださいませ!
マウスピースの装着をサボった日があっても歯は並ぶ?
マウスピース矯正は毎日20時間の装着が必須です!
20時間装着できてなくても、交換日が来たらマウスピースがハマれば問題ない!と思われている方、いらっしゃいませんか?
20時間装着していない状態では、歯に予定通り動くだけの力がかかっていない可能性があります。そのまま新しいマウスピースに無理やり変えると、痛みが生じたり、治療計画通りに進まないため、歯が並びません。
また無理に歯を動かすことで、歯の神経が失活してしまう可能性もありますので、20時間マウスピースが装着できていない日が続いた場合は無理にマウスピースを進めるのではなく、担当医に相談してから新しいものに交換するようにしましょう!
当院ではご来院いただいた際にマウスピース装着時間を患者様に確認し、マウスピースの適合も必ずチェックさせていただいております。
さまざまな事情で20時間装着ができなかった日ももちろんあるかと思いますが、装着できている時間に合わせて交換の日を調整して無駄なく治療が進むよう院長が優しく対応しますので、怒られるかも?と思わずに装着時間をお伝えいただければと思います!
旅行によく行ったり、飲み会が多い!マウスピース矯正できる?
旅行中は食事も楽しみの一つですよね!食べ歩きや、カフェ巡りなど、、マウスピースの装着が難しい場面は多々あります。
飲み会へよく行かれる方も夜2時間だけマウスピースを外して大丈夫といえど、その2時間に食事と歯磨き・フロスとマウスピース装着を含むのはなかなか難しいですよね、、。
旅行や飲み会でどうしても長時間外してしまった場合は予定より1日長めにマウスピースを装着して調整をしていただくと安心です。このようにご自身のライフスタイルに合わせて矯正治療を進めることが可能なので、ご不安な方はまずはお気軽にご相談ください♪
院長がマウスピース矯正経験者!安心して治療を受けるならPINO!
いかがでしたでしょうか?
矯正治療を始める前・始めて間もない頃は特に不安がたくさんあるかと思います。
栄子院長はマウスピース矯正経験者なので、不安ごとなどございましたらお気軽にご相談くださいませ!
些細な疑問や質問にも、親身に丁寧にご対応させていただきます!
当院は矯正無料カウンセリングを行なっておりますので、ぜひご予約お待ちしております!
