目次
皆さま、こんにちは!
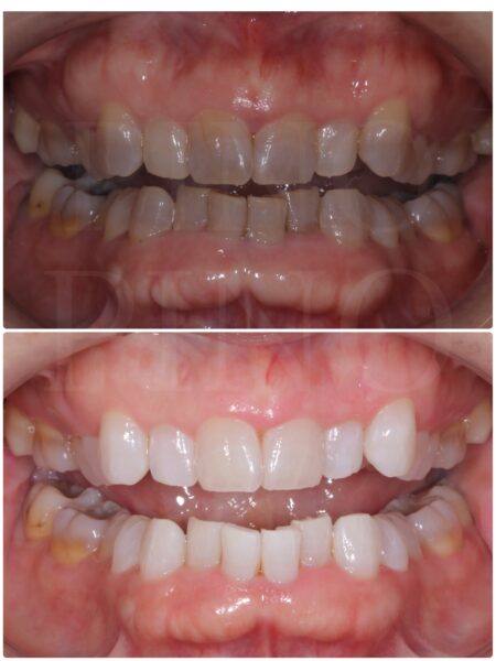
最近では、美容の一環としてホワイトニングが浸透してきたので、当院でもホワイトニングでお越しいただく方が毎日たくさんいらっしゃいます!
その一方で、「私はもうホワイトニングできないですよね?」と60代以降のご年齢の方からのお問い合わせも増えてきました。
今回は、ホワイトニングの年齢制限についてや、シニア世代の方のホワイトニングについて、お話していこうと思います。
歯のホワイトニングに年齢制限ってあるの?
早速ですが、歯のホワイトニングに年齢制限ってあると思いますか?
実は、歯科医院で行う医療ホワイトニングは基本的に18歳以上から可能で、年齢制限の上限はありません!
なので、年齢でホワイトニングを諦める必要はないのです!
しかしホワイトニングを行う際に、歯の色、歯や歯ぐきの状態によってはホワイトニングが難しい場合もあります。
ホワイトイニングをする前に!シニア世代のホワイトニング注意点3選!
では、ホワイトニングが難しい場合とは、どのようなケースのことを言うのでしょうか。
①テトラサイクリン歯など、歯の色味が強い場合がある
そもそも歯は、年齢とともに黄ばんでいきます。
歯の表面のエナメル質は日々の歯ブラシや日常生活で少しずつ薄くなり、逆に歯の内側の象牙質は年齢を重ねるごとに厚みを増すため、黄ばみが年々強くなります。加齢による黄ばみは頑固で、オフィスホワイトニングだけで白くすることが難しい場合があり、ホームホワイトニングを併用いただくことも多くあります。
また、治療痕が多かったり、歯が削れている、場合などはホワイトニングができないこともあります。
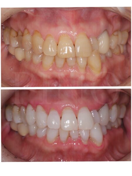
さらに50代〜60代の方は、テトラサイクリン歯と言われる薬剤による歯の変色が起こっている方も多いので、黄ばみの原因が何かをきちんと診断の上で、ホワイトニングをすることをオススメします。

②歯ぐきのやせが進んでいることがある
加齢とともに、歯ぐきが下がり、歯の根元が露出している方が多くいらっしゃいます。(歯肉退縮)

この歯の根元が露出している部分は、ホワイトニングの薬剤が染み込みやすく、痛みや知覚過敏が起きやすいので注意が必要です。
また、歯の根元が黄色いと気にされる方もいっしゃるのですが、ここは象牙質なのでホワイトニングの薬剤が塗れないため白くすることはできません。
③歯周病の場合がある
当院ではホワイトニングの前に歯周病にかかっていないか、検査を行います。
歯ぐきが炎症を起こしている状態でホワイトニングを行うと、歯ぐきに強い痛みが生じ、炎症が悪化する場合があります。
歯周病の方は、まずは歯周病の治療を優先し、炎症や出血が治ってからホワイトニングを行うようにしましょう。
当院では、本院の松村歯科で歯周病治療が可能です。お気軽にご相談ください。
シニア世代のホワイトニングのメリット、デメリットとは?
ホワイトニングのメリット
見た目が若返る、口元が若々しい印象になる
歯が白いと、それだけで見た目が若返り、口元がとても若々しい印象になります。
当院で実際にホワイトニングをした方も、「ホワイトニングをする前には戻りたくない!」と定期的にメンテナンスにお越しいただいております!
人前で笑えるようになった
歯が黄色いと、人前で話したり、笑うときに口元を気にして手で隠してしまいがちです。
ホワイトニングで歯が白くなったことで、気にせず思い切り笑えるようになったというお声は多くいただきます!
清潔感が出た
笑ったときに歯が黄色いと、お顔全体の印象も暗くなったり、清潔感が損なわれていまします。
年齢問わず白い歯は清潔感を与えるので、いくつになっても綺麗な白い歯でいたいですね!
長年のコンプレックスがなくなった
歯の黄ばみは仕方ないもの、とご年齢で諦めている方や、諦めていた方は多くいらっしゃいます。
長年のコンプレックスだった歯の黄ばみのコンプレックスがなくなると、これからさらに人に会うことも楽しみになります!
ホワイトニングをすることは早いに越したことはないので、お悩みの方は一度無料カウンセリングへお越しください!
ホワイトニングのデメリット
知覚過敏や痛みが出る可能性
知覚過敏や痛みは、年齢問わず出る可能性があります。
また先ほどもお伝えしたように、シニア世代の方は歯ぐきがやせている方も多くいらっしゃるので、ホワイトニングの際には痛みが出ないように注意が必要です。
歯の色が明るくなりにくい
シニア世代の方は、象牙質の厚みが増し、歯の色が濃い方が多いです。
また、若い方よりも色が明るくなりにくいため、オフィスホワイトニングは数回行うことがオススメです。
ホワイトングをするなら症例豊富なPINOへ!
いかがでしたでしょうか?
当院は、ホワイトニング症例数が多いので、テトラサイクリン歯でお悩みの方もご安心ください!
また、当院には歯周病検査付きのパウダークリーニングというメニューがございます。
ホワイトニングをする前に、歯周病の検査とクリーニングをすることをオススメしております!
「本当にホワイトニングしても大丈夫?」とお悩みの方も、まずは無料カウンセリングからお気軽にお越しくださいませ。
歯や口元は、実は人からよく見られていたり、お顔の第一印象を左右することもあるほど、重要なパーツです。
いつまでも若々しく素敵な笑顔でいるためにも、ホワイトニングで白い歯を一緒に目指しませんか?
ぜひ、ご予約をお待ちしております!
