皆さま、こんにちは!
早速ですが、歯を白くしたい!!!でもセルフホワイトニングと歯医者のホワイトニングどっちがいいの?と悩まれている方もいらっしゃるのではないでしょうか?
当院にホワイトニングのカウンセリングにお越しいただいた方の中にも、「セルフホワイトニングに通っていたけど白くならなかった」と後悔されてご来院いただく方もたくさんいらっしゃいます。
一方でセルフホワイトニングで効果があった!と言われている方も。
この効果の感じ方の違いにはどんな理由があるのでしょうか?
今回は、セルフホワイトニングと、歯医者でのホワイトニングの違いを徹底解説していきます!
目次
セルフホワイトニングとは「歯の表面の着色を落として」歯を明るくします
セルフホワイトニングとは、歯科医院ではなくサロンあるいはジムなどでちょこっと自分で薬剤を塗って光を当てて行うホワイトニングです。実はお客様のお口の中を触っていいのは国家資格のある歯科医師、もしくは歯科衛生士のみと法律で決められています。歯科助手や歯科技工士さんも触ることは出来ません。これが、セルフホワイトニングの際に自分で薬を塗らないといけない理由です。では自分で薬剤を塗るだけで本当に白くなるのでしょうか?
セルフホワイトニングの仕組み
担当のスタッフの説明を聞いてご自身の歯に自分で薬剤を塗って処置をする方法です。歯の表面に薬剤を塗って、着色している汚れを落としていきますが、その効果はさまざま。効果があるものもあればそうでないものも。ご自分の歯に塗るものなので、安全で効果があるものを使用したいですよね。
使用している薬剤
セルフホワイトニングで使用されている薬剤は、ポリリン酸、酸化チタン、次亜塩素ナトリウムなど、そのサロンによってさまざまですが、これらは残念ながら全て漂白作用がない薬剤です。
主に着色汚れを浮かせて落とす成分ですので、5回、10回と回数を重ねて通っても歯を根本的に白くすることは出来ません。
セルフホワイトニングで白くなる人は?
セルフホワイトニングに行って、初めの1回目で「歯が白くなった!」と感じる方も実はいらっしゃいます。これは歯の表面についていた、食べ物、飲み物による汚れが落ちたため。コーヒーや紅茶、緑茶など、あるいは赤ワインなどの汚れは、セルフホワイトニングの薬剤でもある程度綺麗にすることができます。初めてセルフホワイトニングをした時にちょっと効果があるかも!と皆さんが感じる理由です。
セルフホワイトニングをおすすめしない理由
実は着色汚れを落とすのがセルフホワイトニング。なので短い間隔で何度通っても、セルフホワイトニングでは歯の本来の白さ以上に白くすることができません。
日常的に着色の濃い食べ物・飲み物を摂取している方であれば、セルフホワイトニングへ行くたびに着色が落ちて白くなったと実感できるかもしれませんが、元々歯の表面に着色汚れがついていない方は効果を感じないため、セルフホワイトニングはお勧めできません。
歯医者でのホワイトニングは「歯を漂白する」医療行為です
セルフホワイトニングに行かれていた方は「歯医者のホワイトニングは歯にダメージがあると聞いた」「歯医者でのホワイトニングは痛くて、1回の料金が高額と聞いた」と言われる方もいて、歯科医院でのホワイトニングにマイナスイメージを持たれている方も実は少なくありません。ではセルフホワイトニングと歯科医院で行なっているホワイトニングの大きな違いをご説明していきます!
使用している薬剤の違い
先ほどもお伝えしたようにセルフホワイトニングでは歯を本来の色以上に白くする薬剤は使用できません。歯科医院では過酸化水素や過酸化尿素という薬剤を用いたホワイトニングを行なっています。この薬剤は、皮膚につくと化学火傷を起こす可能性があり危険なため、必ず歯科医院で知識を持ったスタッフが使用する必要があります。
施術は必ず、歯科医師もしくは歯科衛生士が行う必要がある
歯科医院で行うホワイトニングは国家資格を持つ歯科医師あるいは歯科医師の指示のもと歯科衛生士が行う医療行為です。
虫歯や歯周病があったり、被せ物や詰め物が入っていたりするとその部位の治療などが必要となることもあります。きちんと診断をしてもらった上で、ご自分の歯に最もあったホワイトニングの方法を聞いて行うことが大切です。
もし、ホワイトニングを行った際に何かトラブルがあった際も歯科医師の先生がいるので安心です!

お口のプロに見てもらうことで、虫歯・歯周病の予防にもつながる!
ホワイトニングを行う時は必ず、ホワイトニングを行う歯に虫歯や歯周病がないかを確認していきます。当院では、必ず歯磨きの状態や生活習慣まで確認しながらお口のトラブルがないか、しみるところはないか、診察しています。
最近は虫歯などがないため歯科医院に通院していない方も多く、検診を受ける機会が減っているためホワイトニングをきっかけに検診をしてもらうことで、虫歯や歯周病の早期発見、またトラブルの予防にもつながります!
お口の中の病気は痛みや症状がなく進行していることもあるため、実は検診を受けることはとても大切なのです!!
歯の黄ばみの原因ごとに対応が異なるので、自分の判断だけで行わないで
実はホワイトニングをしたい、という方の気になっている歯の黄ばみの原因は様々。
歯科医院で行うホワイトニングが必要な方もいれば、歯のクリーニングが必要な方、虫歯が原因の方、詰め物のやりかえが必要な方など、人によって原因は全く違っています。
なので、ご自分の判断で行うと思わぬ結果になることも。
大切は歯なので、きちんと歯科医院で相談してから行うことをお勧めいたします。
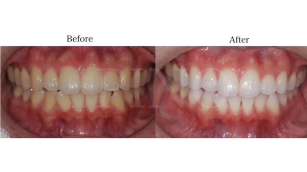
医療ホワイトニングだからこそ歯を根本的に理想の白さにできる!
いかがでしたでしょうか?
セルフホワイトニングは、安価ですので着色を落として歯の元々の白さにしたい方には良いのかもしれません。
根本的に歯を白くしたい、安全に施術を受けたい方、お口の中のこともご相談したい方は歯科医院でのホワイトニングを選びましょう!

当院では、ご自身の今の歯の色から理想の白さになるまで、適切な方法をご提案し、ホワイトニング後のアフターフォローもしっかり行っておりますので、安心して施術を受けていただけるかと思います。
「初めてのホワイトニングで不安」という方も、まずは30分の無料カウンセリングへお越しくださいませ!
皆さまのご予約お待ちしております!
