目次
皆様、こんにちは!
実は私たちの歯並びは、遺伝的な要素だけでなく生活習慣などの癖によって変化してしまうのをご存知でしょうか?
今回は無意識にやりがちな、『歯並びが悪くなる生活習慣 5選』をご紹介します。
もしご自身がやってしまっていたり、周りに当てはまる方がいらっしゃれば、要注意。意識して改善するようにしましょう!
歯並びを悪くする原因となる生活習慣とは?
意外とやってしまいがちな歯並びに影響しがちな習慣。1つずつ解説していきます!
1.口呼吸を無意識にしている方
無意識に口をポカーンと開けている方いませんか?
実はこれ口呼吸が癖になっている可能性が高いサイン!慢性的な鼻炎があったりすると鼻呼吸がしづらく、口で呼吸する癖がついてしまうこともあります。
口呼吸の習慣がある方は、唇を閉じる力が弱く、代わりに頬の力の影響を強く受けて幅の狭い歯列になりやすいので注意が必要です。
さらに通常は口を閉じて舌が上あごに触れ鼻呼吸ができる状態が正常なのですが、口呼吸の場合は舌が下がり、上あごに舌の刺激が伝わらないため上あごの発達が妨げられて歯が内側に倒れたり、歯列が狭くなったりすることがあります。
さらに出っ歯の原因になる要因の1つです。
・鼻が詰まりやすい
・寝ている時に口が開いている
・口が渇きやすい
などの症状のある方は要注意。歯並びが気になる場合は歯科医院で一度相談してみると良いかもしれません。
2.舌癖がある方
舌の位置や動き方に問題がある『舌癖(ぜつへき)』も歯並びに大きく関わります。
赤ちゃんの頃は歯がないため、上下の歯ぐきの間に舌を入れて物を飲み込んでいます(吸啜反射)。この習慣は通常歯が生えてきたら自分で調整できるようになり、次第に上のあごに押し付けるように動くように成長していきます。
しかし、その癖がうまく成長せずに残っていると、舌癖となって残ってしまう場合があります。
・飲み込む時に舌で前歯を押す
・普段から舌と歯が触れている
・舌足らずな喋り方がある
このような癖があると、前歯が前方や外に押し出され、出っ歯・すきっ歯・開咬(かいこう)になりやすくなります!
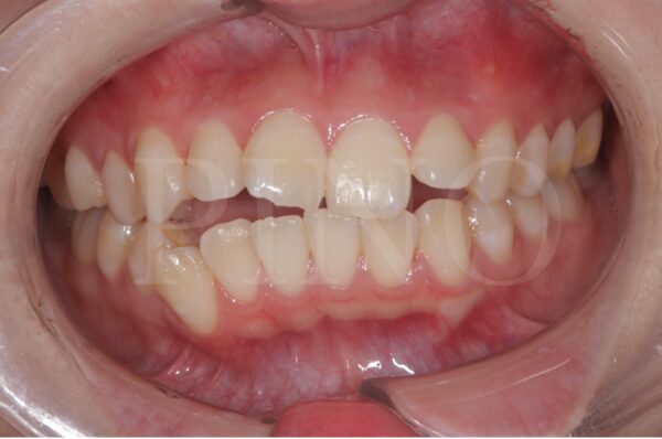
開咬とは、下の写真のように上下の歯を噛み合わせた時に前歯が接触できずに、隙間があいてしまう状態のことを指します!
上下の歯の間のスペースは、舌が入り込む癖のために残ってしまったところです。

この開咬の特徴としては、前歯で物を噛みきれない、発音しにくくなる(特にサ行・タ行)、口が閉じにくく、口呼吸になりやすい、などが挙げられます。
開咬があると、口呼吸になりやすく、さらに歯並びを悪くする悪循環になってしまうのです。
3.頬杖・硬いものを片側だけで噛んでいる方
頬杖をついていたり、硬いものを片側だけで噛んでいたりすることも歯並びに影響してきます。
授業中に頬杖をつく癖などがあると、あごの外側への成長が妨げられ噛み合わせにずれがでたり、骨格的な偏位が起こることもあります。
また、片側噛みの癖があるとあごの骨の歪みに影響する場合があります。
誰にでも噛み癖はあるのですが、例えばテレビの方向を向いて横を向いてご飯を食べる習慣などがあると、あごの位置をずらして食べる癖が出ることもあるため、食事中の姿勢なども注意していただくことをお勧めします。
4.普段の姿勢・寝る姿勢が悪い方
長時間同じ方向、同じ向きの体勢をとっていることも骨格的な歪みの原因となります。
また、普段の姿勢も大切です。スマホやパソコンを使用する機会が増えたことで猫背、ストレートネックの方も増えていると言われています。
猫背の姿勢になると気道が狭くなりやすいため、呼吸がしやすくなるように口呼吸になってしまいます。
また猫背になると、首の前の筋肉が引っ張られるため口ポカンの状態にもなりやすいので注意が必要です。
さらに、姿勢が悪いと、顎の位置がずれやすくなり、噛み合わせが悪くなることもあります。
このように姿勢一つでさまざまな悪影響が出てきてしまいます。
日常に『姿勢を正す』ということを取り入れ、歯並びが悪くならないように意識も大切です!
5.爪を噛む、指しゃぶり、必要以上の哺乳瓶・おしゃぶりを使用していた方
爪を噛む行為も歯並びが悪くなる原因の一つです。
爪を噛むことで、歯に不自然な力がかかり、その部位の歯だけ傾斜してしまうこともあります。
また、指しゃぶりが4歳以上になってもつづいていたり、哺乳瓶、おしゃぶりを長期間にわたり使用している場合は注意が必要です!
これらを続けてしまうと、歯並びが悪くなるだけではなく、滑舌にも関係してきてしまいます。
3歳までの指しゃぶりは生理的なものなので、やめさせる必要はありません。
しかし、骨の成長が進み歯の生え変わりも近づいてくる4歳以上になると、必要以上の指しゃぶりや長期的な哺乳瓶・おしゃぶりの使用は避けた方がいいでしょう。4歳以上になると、本人も理解できるようになるため、どうして指しゃぶりがいけないかを本人に理解してもらうよう積極的な対応が必要です!
長年の指しゃぶりとそれに伴う舌癖のせいで歯や骨が歪んでしまった状態です。

必要以上の指しゃぶりや哺乳瓶・おしゃぶりの使用は成長途中の骨をこのように歪ませてしまいます。
子供の頃に矯正治療を行なったり習癖を改善できれば矯正治療をすることなく、自然と歯並びが改善することもありますが成長期に改善が行われなかった場合は矯正治療が必要となります。
歯科矯正は歯並びを治すだけではだめ!癖の改善も必要です!
歯科矯正を行なっても、舌の癖、口呼吸が改善していなければ、歯はまた元あった方向に戻っていく力が働きます。
矯正後も注意が必要!後戻りを防ぐために大切なこと
歯並びは遺伝だけではなく、日常の癖が大きく影響しています。このため、矯正治療後に後戻りを防ぐために、原因となっていた習癖がある場合は日常生活での改善が必要です。
マウスピースで歯並びを治すだけではない!安心のPINOの歯科矯正!
みなさまは、当てはまる癖はありましたか?
当院では、歯科矯正を行う際に舌癖は口呼吸の癖のある方には、お口周りの筋肉や舌のトレーニングを行なって、習慣の改善も行なっています。また、食いしばりの強い方にはマッサージなどを行なったり、日頃からご自身でもできる改善法をお伝えし、矯正治療後もきれいな歯並びをキープしていただけるよう指導をさせていただいております。
無料カウンセリングでは、お口周りの筋肉や顎の状態なども見て、歯並びが悪くなった原因となる癖がないかもきちんと診察しております。
歯科矯正を行いたいけれど自分の歯並びが悪くなった原因は何だろう?とお悩みの方はぜひ1度無料カウンセリングにお越しくださいませ!
歯科医師がしっかりと、歯の状態を確認し、1人1人に合った矯正計画をご提案いたします!
前歯が気になるな、噛み合わせが気になるな、もっと自信を持って笑えるようになりたいな、などお悩みの方!そのお悩みマウスピース矯正で解決しませんか?
マウスピース矯正の具体的な流れはこちらをご覧くださいませ!→マウスピース矯正ってどうやって進めていくの?
当院スタッフのマウスピース矯正をやってよかった!リアルな声はこちら!→マウスピース矯正って痛い?PINOスタッフ体験談!
ご予約は公式LINE・公式HP・お電話より承っております!
お気軽にお問い合わせくださいませ!
皆様のご来院お待ちしております!
