目次
皆さま、こんにちは!院長の松村です。
今回は抜歯矯正について、詳しくご紹介していこうと思います!
健康な歯を抜くのは抵抗があるかと思いますが、なぜ抜歯が必要なのか、どんな時に必要なのか解説していきますね!
実は私も抜歯が嫌だったので矯正治療を諦めてた経験が、、、
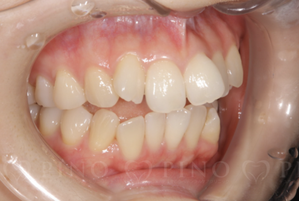
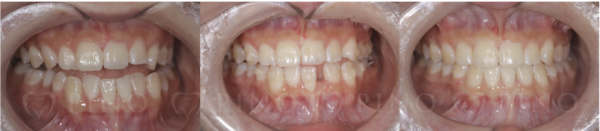
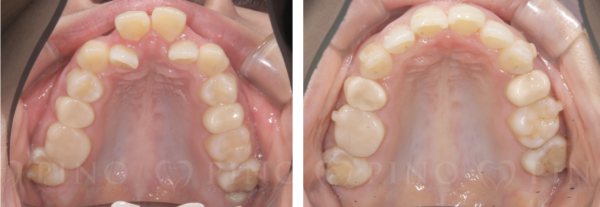
矯正治療を行う場合、歯が並ぶスペースがない場合は健康な歯を抜歯して矯正治療を行うことがあります。健康な歯を抜くのに抵抗があったり、歯を抜くのが怖かったり、、そのために矯正に踏み出せない方もいらっしゃいますよね。実は私も抜歯が嫌で矯正治療に踏み出せない一人でした。結局私の歯並びの場合は、抜歯をせずに治療が可能だったマウスピース矯正を選択しました。ただし抜歯をして矯正をする場合と非抜歯で行う場合では治療のゴールに違いが出てきます。
今回は抜歯矯正にお悩みの方に、抜歯矯正が必要な理由、また非抜歯との違いをご紹介していきますね。
少しでもこれだったら矯正治療を始めたい!と思っていただければ幸いです!!
抜歯が必要なのはどんな時?
そもそも抜歯矯正が必要な方とそうでない方の違いはどこにあるのでしょうか?
「口元を下げたい」方もいれば、「抜歯をすることにより口元が下がり過ぎてしまうのでは?」という方も様々。
矯正治療で抜歯を行う必要がある場合をご紹介していきます。
あごが小さく歯が並ぶスペースがない時(叢生)
最近は柔らかい食べ物ばかり食べているためにあごの成長が十分でなく、あごがすごく小さい方も増えています。小さい顎に無理やり歯が並ぶとがたつきが出てしまいます。成長期の子供であれば、矯正治療により骨格的に成長を促しあごを広げて歯を抜かずに並べることも可能ですが、成人の場合は抜歯が必要となることも多くあります。
出っ歯や口元が出ている時(上顎前突、上下顎前突、口ゴボ)
がたつきは強くないけれど、口元を下げて横顔の改善をしたい方には抜歯が必要となることも多くあります。口元が前に出ている原因は口呼吸などの癖により歯が斜めに出ているいわゆる出っ歯の状態になっていることも多く、抜歯をして口元を下げていく必要があります。

噛み合わせが悪い時(開咬などの不正咬合)
上下の歯の噛み合わせが悪い時は、抜歯を行なってよりよい噛み合わせになるよう歯を移動する必要があります。あごの大きさ、歯の大きさなどの分析を行い、抜歯の必要性を判断していく必要があります。

歯を抜いて矯正すると将来トラブルは起こる?
歯を抜くと将来、歯が少ないので問題が起こってくるのでは?とのご質問も多くあります。しかし、がたつきがあると、歯磨きがしにくいため、歯茎の腫れや虫歯の原因になることもあり、抜歯をすることで歯のケアがしやすくなり歯周病や虫歯のリスクを減らすメリットなどもあるので、ご安心ください。
抜歯矯正のメリットは?
①歯並びが綺麗になる、口ゴボが改善できる
抜歯をすることで歯が並ぶスペースを活用して歯を移動することができます。そのため、重なって並んでいた歯をきれいに並べることが可能です。また、出っ歯や口ゴボが気になる方は、抜歯を行うことで前歯を後ろに下げることができるため横顔の改善も可能です。

②歯を削らずに治すことができる
抜歯を行わずに歯を並べる場合は歯と歯の間を少し削りスペースを作る、IPRと呼ばれる処置を行う必要がほとんどです。しかし抜歯矯正の場合はそのような歯を削る処置が必要なくなるメリットもあります。
抜歯矯正のデメリットは?
①外科処置が必要
1つ目は抜歯の外科処置が必要となることです。
当院では矯正治療をスタートして歯を抜きやすい状態にしてから抜歯を行うため、痛みに配慮した抜歯を行っておりますのでご安心ください。
②見た目が気になる
二つ目は歯を抜いてスペースが埋まるまで、見た目が歯抜けで気になる、、という点です。歯を抜いたスペースが目立たなくなるまで3ヶ月程度が目安となります。
③口元が下がりすぎることがある
三つ目は口元が下がりすぎることがある点です。場合によってはほうれい線が前より目立ったかも?という場合もあるため、どれくらい口元を下げる必要があるか、担当の先生の診断を聞いてよく判断する必要があります。
抜歯せずに矯正できる歯並びは?
では、私と同じように抜歯をせずに矯正できる歯並びとはどんな状態でしょうか?
すきっ歯の場合
隙間を閉じる矯正治療では、すでに歯を並べるスペースが十分にあるため抜歯が必要となることはありません。

歯列の横幅が狭い場合
口呼吸などが原因で、頬の筋肉に歯が押しこまれ横幅の狭い歯列をしている方で、かつ口元の突出感が気にならない場合は幅を広げることでスペースを作ることができるため、場合によっては非抜歯で治療が可能な場合があります。

親知らずがなく、歯を後ろに動かすことが可能な場合
大きな口元の突出感がなく、親知らずを抜歯していてスペースがある場合は抜歯をせずに治療が可能な場合があります。マウスピース矯正で行える場合もありますが、症例は限られるため治療のゴールをきちんと担当の先生と相談する必要があります。実は私が非抜歯で行うことが出来たのは、歯の幅が狭く狭窄していたのと親知らずがなかったため、歯を全体的に後ろに動かして幅を広げて並べることで治療を行いました!
口元の突出感がない場合
元々前歯が内側を向いていて前に歯を出しても問題がない歯並びの場合は非抜歯での治療が可能です。矯正のゴールで患者様と一番相談させていただくのは口元が出ているのが気になるかどうかというところ。矯正の診断を行い、横顔や歯の位置を見て抜歯するとどれくらい前歯が下がるのか、逆に非抜歯だとどのような口元になるかを相談して、突出感が気にならない場合は歯を抜かずに矯正治療を行うことが可能です。

注意が必要な非抜歯矯正
歯科矯正をする際に抜歯をするか非抜歯で行うかはきちんとした診断のもと決定する必要があります。安価でできる矯正や、短期間で治療可能なマウスピース矯正を行なったことで、口元がより突出したというトラブルが起こることも。少ない枚数で治療が可能なのは魅力的ですが、本当にご自身の場合は非抜歯で歯科矯正を行なって良いか、自分の求めるゴールを考えきちんと判断してから行いましょう。
当院では、一度他院で歯科矯正を行なったけれど、自分の思っていた仕上がりとは違っていたり、奥歯を動かしていないと知らず出っ歯になってしまった、と抜歯をして再治療を始められた方もいます。治療を無駄にしないためにもしっかりと治療前に先生と相談することが大切です。

抜歯する歯はどうやって決まる?
ではいざ抜歯が必要な場合、どうやって抜く歯を決めるのでしょうか?
八重歯が気になる場合
八重歯が気になる場合、八重歯の1本後ろ、前から4番目の歯を抜いて治療計画を立てることがほとんどです。実は、犬歯(八重歯)は最も根っこが長く、寿命が長いと言われていることもあり、保存されることが多いのです。唇側に飛び出しているから犬歯を抜くのでは?と思われるかもしれませんが、犬歯を抜いた場合は大きく歯ぐきが痩せてしまったり、前から見た口元のバランスが悪くなってしまったり、噛み合わせが悪くなることもあるためあまり選択されることはありません。
同様に犬歯に隠れて前から2番目の歯が内側に隠れている場合もあります。この場合でも内側の歯をなるべく保存して、小臼歯の抜歯を行い矯正治療を行います。

前歯の本数が異なる場合、上下の歯の大きさに差がある場合
実は上下の歯の本数が元々異なる方の場合や、上下の歯のサイズに差があり、噛み合わせのバランスを改善するのに、下の前歯を1本抜いて治療を行う場合があります。

その他の場合
転位歯と言って本来の場所と大きく離れたところに萌出している歯などがあった場合は正しい位置から外れている歯を抜歯することもあります。残す歯の動きを最短に、最も効率よく動かせるよう診断のもと決定していきますのでご安心くださいね。

抜歯矯正も非抜歯矯正もPINOにお任せください
いかがでしたでしょうか?
抜歯矯正のメリット、非抜歯でできる歯並びについて少しご理解いただけましたでしょうか?
ご自身の歯並びはどれに当てはまるのかなとご不安なかたもぜひ一度当院の無料カウンセリングにお越しください!
無料カウンセリングご予約は公式LINE・公式HP・お電話より承っております!
当院での多くの症例をご紹介しながらあなたに最適な方法をご提案させていただきます!
