皆様、こんにちは!
以前ご紹介したオフィスホワイトニングとホームホワイトニングの違いについてのブログはお読みいただけましたか?
今回は、オフィスホワイトニングとホームホワイトニングを掛け合わせた『デュアルホワイトニング』についてお伝えいたします!
ホワイトニングって何種類あるの?
デュアルホワイトニング?と思われた方もいらっしゃるかもしれません。
ホワイトニングって様々な方法があるのでどれが自分に合っているのか悩みますよね?
ホワイトニングには、大きく分けて歯科医院で行うオフィスホワイトニングとセルフサロンなどで行われているセルフホワイトニングがあります。
セルフホワイトニングは実際は歯を白くするというよりは、日常生活で変色した歯の着色を取り除くだけなので、本来のホワイトニングの意味合いとしては少し違ってくるため、今回は歯科医院で行なっている医療ホワイトニングについてご説明していきますね!
歯科医院で行うホワイトニングは、オフィスホワイトニング、ホームホワイトニング、そしてそれらを合わせて行うデュアルホワイトニング、と呼ばれる3つの方法があります。
即効性のあるオフィスホワイトニングと色戻りしにくいホームホワイトニング
オフィスホワイトニングでは高濃度の過酸化水素や過酸化尿素など医療機関でしか取り扱うことができない、漂白作用のある薬剤を使用して施術いたします。そのため歯を根本的に白くすることが可能です。
オフィスホワイトニングでは個人差はありますが、1回の施術でも歯のトーンが明るくなったと実感できるメリットがあります!
ただしデメリットとしてよくご心配されるのはホワイトニング後の色戻り。
これはオフィスホワイトニングの薬剤を主に歯の表面に作用するので、唾液や食べ物の影響を受けやすいと言われているためです。
一方で、ホームホワイトニングは歯科医院でしか使えない薬剤を安全にご自宅で使用できるように濃度を低く調整したものです。
1回の施術で白くなった!との効果は感じづらいですが、継続して使用することで、歯の内部から黄ばみを改善することができ、歯の色戻りが起こりにくいのが特徴です。
デュアルホワイトニングってなに?!
オフィスホワイトニング、ホームホワイトニングを組み合わせて行う方法をデュアルホワイトニングと呼ばれます。
それぞれのホワイトニングの方法のメリットを活かし、デメリットをカバーすることができるため、最も理想の歯の色に近づきやすいのがおすすめポイント。
当院ではご紹介したオフィスホワイトニングとホームホワイトニングを掛け合わせたデュアルホワイトニングコースをご用意させていただいております!
歯科医院で高濃度の薬剤を用いて歯の表面を明るくし、歯の内部はホームホワイトニングのジェルを用いて根本的に黄ばみを改善していく。このためオフィスホワイトニングのみ、あるいはホームホワイトニングのみの場合よりも、より効果を感じていただけます!
1ヶ月コース・2ヶ月コース・3ヶ月コースとご用意させていただいており、ホワイトニングにかける回数や期間が異なっています。元々の歯のお色、あるいはなりたい歯のお色に合わせて、最適な方法をご提案させていただいております。
デュアルホワイトニングでこんなにも歯が白くなる!
1ヶ月コースや3ヶ月コース、、回数が多い方がいいの?私にはどれが合っている?と思いますよね。
それぞれのコースを受けられた方の変化をご紹介していきます。
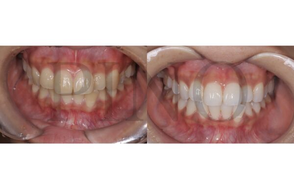
1ヶ月コース (オフィスホワイトニング3回+ホームホワイトニング)
1ヶ月コース(オフィスホワイトニング3回+ホームホワイトニング)で明るい歯の印象に仕上がりました!
元々の歯の黄ばみが強くない方、比較的年齢の若い方で歯の質に問題がない場合、1ヶ月コースでも十分明るくなります!!
(※ホワイトニングの効果には個人差があり、しみなどの痛みを伴う方もいらっしゃいます)

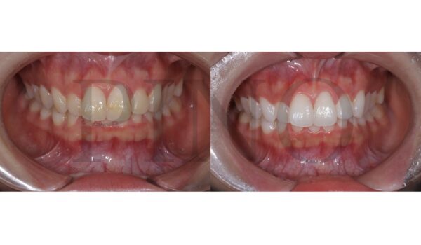
2ヶ月コース (オフィスホワイトニング5回+ホームホワイトニング)
2ヶ月コース(オフィスホワイトニング5回+ホームホワイトニング)を受けられた方です。
ホームホワイトニングは継続して行うことが必要ですが、この方は歯が染みるような症状もなかったため、夜間のホームホワイトニング使用を毎日継続いただきました。
周りからも歯が白くなったと褒められることが増えたととても満足していただきました!
(※ホワイトニングの効果には個人差があり、しみなどの痛みを伴う方もいらっしゃいます)
3ヶ月コース (オフィスホワイトニング7回+ホームホワイトニング)
3ヶ月コース(オフィスホワイトニング7回+ホームホワイトニング)を受けられた方です。
元々歯の黄ばみが強い方でしたが、ホームホワイトニングを毎日継続してくださったこともあり、家族からも褒められるるくらい明るい歯になりました!!歯に対する意識も上がり、今でもホームホワイトニングを定期的にタッチアップとして続けてくださっています。
(※ホワイトニングの効果には個人差があり、しみなどの痛みを伴う方もいらっしゃいます)

神戸・大阪でホワイトニングするならPINOへ!
いかがだったでしょうか?
このように当院では、皆様のお口の状態に合わせて、ホワイトニングのコースの内容をご提案したり、ホームホワイトニングの使用のタイミングなどをご提案させていただいております。
痛くてホワイトニングが続かなかった方、ジェルを歯科医院で購入したものの、使い方を間違っていたため効果が得られていなかった方などにも最適な方法をご提案しているため、無理なく思っていたよりも明るくなった!とのお声も多くいただいております!!
当院のデュアルホワイトニングの魅力が伝わっていましたら幸いです!
ホワイトニングについてインスタ・YouTubeにもたくさん投稿しておりますので、
気になることがあればぜひコメントくださいませ♪
皆様のご予約お待ちしております!
