皆さま、こんにちは!今回は歯並びはガタガタではないけど歯の隙間が気になる!という方に向けて歯並びの治し方をご紹介していきますね!
「前歯のすきっ歯が気になるけど、矯正って大変そう、、、」「ワイヤーをつけるのには抵抗がある、、、」そんなお悩みを持つ方は実はとっても多いんです。
今回は前歯のすきっ歯が、矯正でどこまで綺麗になるのか当院で治療された方の症例と合わせて詳しくご紹介いたします!
目次
前歯のすきっ歯をなくしたい!
あなたのすきっ歯の原因は?

前歯の真ん中にすき間が空いている状態を「正中離開(せいちゅうりかい)」といいます。
・顎の大きさに対して、歯が小さい
・歯の数が少ない
・歯が生えてくる方向や位置がずれている
・舌で前歯を押す癖がある
これらがすきっ歯の原因となっていることが多いです。
すき間があると、笑った時に目立ったりする見た目だけでなく、息漏れしたり、滑舌が悪く感じられることなど機能的な面でも問題となることがあります。
すきっ歯を治す方法は?
実はすきっ歯を治すのは矯正治療だけではありません。すきっ歯の治療にはいくつか方法があります。
1.マウスピース矯正(ワイヤー矯正)

すきっ歯を治すのにまず一つの方法として、矯正治療があります。
マウスピースタイプでも、ワイヤー矯正でも治療が可能です。
特にマウスピース矯正では、奥歯の噛み合わせに問題がない場合は、部分矯正で治療が可能なことも多いため、通常の矯正治療と比較して費用と期間をおさえて治療を行うことができます。
2.ラミネートベニア、セラミッククラウン
そのほかの方法として歯の表側の表面を一層削って付け爪のようにセラミックを貼り付けるラミネートベニア、あるいは歯を一周全て削って被せ物にするセラミッククラウンやジルコニアクラウンなどがあります。
矯正治療と比較すると、歯型を取って出来上がった被せ物を装着するだけなので、短期間で隙間のないきれいな歯を手にいれることが出来ます。
また、歯の形、色調の改善も可能です。
しかし、ご自身の健康な歯を削らなければいけなかったり、将来歯ぐきが痩せたりした場合は被せ物のやりかえが必要になることなどもあるので、管理が大切です。
3.ダイレクトボンディング
セラミックと異なり、歯の表面を削らずにお口の中に直接コンポジットレジンという材料を築盛して、歯の形を作る方法です。
施術の為に色を合わせたりする準備は必要になりますが、施術した当日に隙間を埋めることができるメリットがあります。
しかし、色を合わせたり形を作るのが難しいため、歯科医師の技術により仕上がりに違いが生じることもありますので、先生にどのような仕上がりになるのかしっかり相談して確認する必要があります。
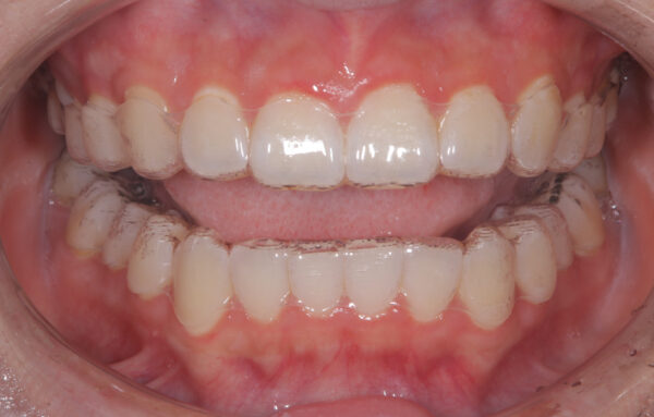
※写真は当院でホワイトニング後、ダイレクトボンディングを行なった方です

| 治療内容 | パウダークリーニング、ホワイトニング、前歯のダイレクトボンディング |
|---|---|
| 期間 | およそ1ヶ月 |
| 費用 | 113,000円~ |
| 副作用・リスク | 長期的に見ると詰め物の色が変色する可能性がある、ホワイトニングによる知覚過敏など |
マウスピース矯正ですきっ歯を治すメリットは?
奥歯の噛み合わせに問題がなく、歯の隙間が広いすきっ歯の方には、ほとんどの方の場合、主に前歯にアプローチする「部分矯正」で治療が可能です。
前歯のすき間が1〜3mm程度で、奥歯の歯並びに大きな問題がない方はこの部分矯正で、綺麗な歯並びを手にいれることができます!
では当院で行なっているマウスピース矯正ですきっ歯を治すメリットをご紹介していきます。
歯を削る必要がない
セラミッククラウンなどと違い、歯を削る必要がないので安心です。
自分の歯で並べることができるため詰め物の管理などが必要ない
被せ物などでは、歯ぐきとの境目が年齢とともに目立ってきたり、変色してしまう可能性がありますが、全て自分の歯のためそういった心配もありません。また、ホワイトニングを行なったりして歯を白くする場合も、詰め物や被せ物がないため色の差が出ることもないのも大きなメリットです。
矯正治療の中では、比較的治療期間が短い
実はすきっ歯の治療は、マウスピース矯正が得意な動きの一つ。
がたつきが強いと、マウスピースがしっかりと歯を掴めないためズレが起こりやすいのですが、すきっ歯の状態だと、マウスピースの力がしっかり歯に伝わりやすいので、歯が動きやすいと言われています。きちんとした診断のもと治療が必要ですが、早い方で3ヶ月、長くても1年以内に治療が終了するケースがほとんどです。
費用が安い
通常のワイヤー矯正治療と異なり、マウスピース矯正では部分的に治療を行うことができるため、矯正治療の中では費用を抑えた治療を行うことができることが多いです。
すきっ歯の矯正治療でのデメリットは?
すきっ歯の治療には先ほどもご紹介したようにいろいろな方法があります。
デメリットもご紹介していきますね。
後戻りがしやすい
これはマウスピース矯正に関わらず、矯正治療ですきっ歯を治した時に必ず注意が必要なことです。
筋肉のバランス(唇、頬、舌)が歯並びに影響しているため、歯を前に押し出す癖(舌癖)があったりすると、せっかく閉じた隙間が広がる可能性があるので要注意です。
矯正治療を行なった後のリテーナーの使用がとても大切になります。
歯の形が小さい場合はセラミックやダイレクトボンディングが必要となることもある
歯が小さいためにすきっ歯になっている方の中には歯の形が歪で、隙間を閉じただけではきれいに見えない場合もあります。
その際はダイレクトボンディングなどを併用して、歯の形を整える場合もあります。
以下はマウスピースタイプの矯正治療と、前歯の形を修正した症例です。
①全体的に歯のサイズが小さくスペースのある歯並びでした。
②矯正治療を行いスペースは閉じましたが、前歯の大きさが異なるため審美的な違和感があります。
③前歯にダイレクトボンディングを行い、歯のサイズを整えて審美面での問題を改善しました。

| 治療内容 | マウスピース矯正(部分矯正)、ダイレクトボンディング |
|---|---|
| 期間 | 1年 |
| 費用 |
矯正治療:43,6000円〜、ダイレクトボンディング33,000円 |
| 副作用・リスク | 後戻りが起こる可能性がある、長期的に見ると詰め物の変色が起こる可能性がある |
このように詰め物(ダイレクトボンディング)が必要になることはデメリットでもありますが、仕上がりからすると併用するメリットの方が大きいと思いますので、ご安心くださいね。
神戸ですきっ歯のマウスピース矯正をするならPINOへ!部分矯正もお任せください!
マウスピース矯正だけでなくセラミッククラウン、ベニアについてもご相談いただけます
すきっ歯の治療、あなたに合った方法は見つかりましたでしょうか?
当院では、主にマウスピース矯正を行なっておりますが、患者様のお口の状態、ご希望をお伺いし、セラミッククラウンやダイレクトボンディングなども含めて最適な方法をカウンセリングでお伝えしております。
ご予算、期間や治療後のメンテナンスの方法など様々な観点からご提案しておりますのでご安心ください。
ホワイトニングの相談も可能!
ホワイトニングについても当院では経験が豊富にございます。
矯正治療だけでなく、歯の色も一緒に明るくする方法をご提案できます。
ぜひ一度、お口元のお悩みを私たちにご相談くださいませ!
カウンセリングは無料でおこなっております。無料カウンセリング
ご予約は、公式LINE、公式HP、お電話より承っております!
お気軽にお問い合わせください!
当院のマウスピース矯正がどのように進んでいくのかは、こちらの『マウスピース矯正ってどうやって進めていくの?』をご覧くださいませ!
Instagramではマウスピース矯正の症例も掲載しております!
あなたの歯並び栄子先生に任せてみませんか?
皆さまのご来院をお待ちしております!
