みなさま、こんにちは!
当院は『食いしばり』でお悩みの方が数多くご来院されます。
『食いしばり』の程度も人によって様々で、当院ではその方にあったベストな方法をご提案させていただいております。
今回は当院の食いしばりの特徴や食いしばり治療について、お話させていただきます!
あなたは大丈夫?食いしばりがある方の特徴3選!
実は、食いしばりがある人の8割は自覚症状がないと言われています。
私は大丈夫!と思っている方も「私は大丈夫かな?」と不安に思われた方も方も、ぜひ鏡を用意してお口の中を一緒にチェックしてみましょう!
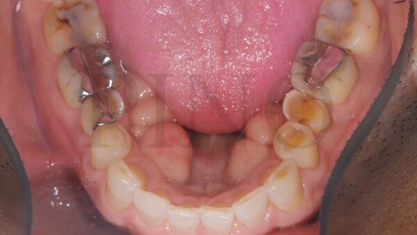
1. 下の歯の内側に骨の膨らみ(骨隆起)がある
下の歯の内側にこのような骨の膨らみがある方、いらっしゃいませんか?

この骨の膨らみは骨隆起と言います。
日常的に食いしばる癖があると、歯にストレスがかかり骨が反応性に成長して厚みが出ている可能性があります!
骨隆起自体は病気では無いため治療をする必要はありませんが、かなりの力で食いしばっている可能性があるため要注意です。
2. ほっぺたの内側に歯形がある方
ほっぺたの内側に歯形がくっきりある方は夜間だけでなく日中も食いしばっている可能性があります。
通常、楽な姿勢で座った時は、上下の歯と歯は触れない状態が正しいのですが、日常的に食いしばりの癖がある場合にこのような症状が出ます。
何かに夢中になっているときに食いしばることが多く、パソコン作業やスマホをよくみる方、同じ姿勢で過ごすことが多い方などは要注意です。

3. 舌の縁に歯形がある方
先ほどのほっぺた同様、舌に歯形がある方も夜間だけでなく日常から噛みしめるために、このように歯形が付きます。
舌が低く落ちていることが多く、低位舌の状態となっている方も多いです。

食いしばりに効果的な改善方法とは?
まずはすぐに変化を感じることのできる食いしばりマッサージがオススメ
当院の大人気メニューのひとつ『食いしばり予防マッサージ』
食いしばりには顎の筋肉や、首周りの筋肉が関係しています。
首や肩の凝りが取れない、顎がだるい、頭痛がする、などの症状の続いてる方は一度この食いしばり予防マッサージを体験していませんか?
いきなり「ボトックス注射は怖い」という方にも、まずはマッサージがオススメ!
お口周りをしっかりほぐすので施術後はお顔もスッキリして、顎のだるさがなくなっています♪
マッサージは一時的な改善となりますので、数回続けて、もしくは顎がだるくなってきたタイミングで定期的に受けると効果的です!
発達した筋肉に直接アプローチ!ボツリヌス注射!
顎の筋肉を触って筋肉が硬くなってしまっている場合はボトックス注射もオススメです!
ボトックス注射は、咬筋を緩め、食いしばりや歯ぎしり、顎関節症を改善する効果を得ることができます。
ボトックス注射の効果は個人差もありますが大体3ヶ月と言われております。効果が切れてきたタイミングで追加で注射を行いますが、当院では生活習慣の改善も一緒にご提案しております!
食いしばりの根本改善には歯並び矯正!
噛み合わせにトラブルがある場合は、マウスピース矯正で根本的な噛み合わせ改善が必要な場合も◯
歯並び・噛み合わせが悪さに加えて食いしばりが日常的にあると、虫歯や歯周病リスクが高まるだけではなく、顎関節にも負担がかかるため顎関節症のリスクも高まります。
顎関節の状態によってはマッサージやボトックス注射で改善は難しいため、場合によっては歯並びの矯正治療が必要となることもあります。
食いしばりのお悩みならPINOにお任せ!
いかがでしたでしょうか?
当院にお越しいただく食いしばりでお悩みの方は、どこに行って相談すればいいのか、夜用マウスピースでの対策しかしてもらえなかった、という方々が多くいらっしゃいます。
食いしばり関連のメニューがある歯科があまりないからこそ、食いしばりでお悩みの方はぜひ当院へお越しいただきたいです!
お口の状態・生活習慣から、あなたにあった治療方法をご提案させていただきます。
30分の無料カウンセリングも行っておりますので、まずはカウンセリングへお越しくださいませ♪
ご来院お待ちしております!
