目次
皆さま、こんにちは!
みなさんの歯並びはどんなタイプでしょうか?
実は歯並びにはいくつかのパターンがあります。歯並びが悪い状態、いわゆる『不正咬合』の種類はいくつかに分類されます。
今回は、不正咬合について詳しくご紹介いたします!
あなたの噛み合わせがどれに当てはまるのか、どんな治療が必要か一緒に見ていきましょう!
歯並びが悪い(不正咬合)の原因
不正咬合の原因は、大きく分けて2つ。遺伝によるものと習慣によるものに分けられます。
遺伝によるもの (先天的要因)
先天性のもので、両親の遺伝的な影響を受けている場合です。骨格的に顎の大きさが小さかったり、歯自体のサイズが大きかったり。
このため、矯正治療を行う場合は原因の1つとして考えられる両親の矯正治療の既往の有無や噛み合わせの確認を行うこともあります。
しかし、遺伝的な原因で歯並びに与える影響はおよそ30~50%程度。多くは次の後天的要因が関係していると言われています。
日常の癖によるもの (後天的要因)
日常生活の癖によって、不正咬合になってしまう場合もあります。50%〜70%の方に後天的要因が関与しているとも言われていおり、とても注意が必要なんです。
具体的には、姿勢などの生活習慣、唇を噛む、舌癖、頬杖をついている、口呼吸、低位舌など。
また、幼少期の必要以上の哺乳瓶の使用や指しゃぶりが続くことも、歯並びに影響を及ぼします。
一般的に「歯並びそのもの」は後天的要因が強く、「骨格」は遺伝的要因が強いと言われています。
不正咬合の種類
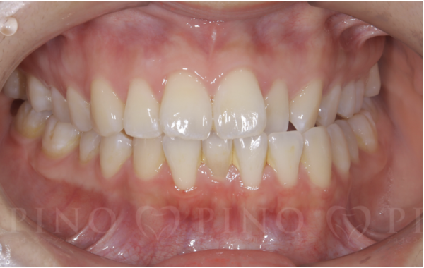
1.出っ歯 / 上顎前突(じょうがくぜんとつ)
上顎が前に出ている(過成長)、下顎の成長不足(劣成長)、上の歯が前方に傾斜しているなど様々な原因が考えられます。
口を閉じることが難しくなり、口呼吸の原因にもなります。歯並びだけでなく、口臭や虫歯・歯周病のリスクも上がります。
指しゃぶりや、爪を噛む行為など日常の癖により少しずつ歯並びが悪くなった方も多いのが特徴です。
2.しゃくれ、受け口 / 下顎前突(かがくぜんとつ)

いわゆる「しゃくれ」の状態です。
下の前歯や下あごが前に出ている状態で、低位舌や口呼吸が原因となっている方もいます。遺伝的要素も原因となることが多いですが、両親が受け口でない場合は、歯が永久歯に生え変わるタイミングで下顎を前に出して噛む癖が定着してしまい、その後の成長に影響する場合もあります。
咀嚼機能が低下したり、サ行の発音が悪くなったりする症状が認めらめることも多いです。
3.前歯が噛んでいない / 開咬(かいこう)

開咬とは、「オープンバイト」とも呼ばれ、奥歯でしっかり噛んでも、上下の前歯に隙間がり閉じない状態のことです。とくに乳幼児期の舌癖が原因となっている場合が多いです。
口の中が乾燥しやすく、口臭の原因にもなったり、滑舌が悪い点も挙げられます。
さらに開咬の方は食いしばりにお悩みの方が多くいらっしゃいます。食いしばりで輪郭が大きくなってきたと相談されることも多い歯並びの1つです。
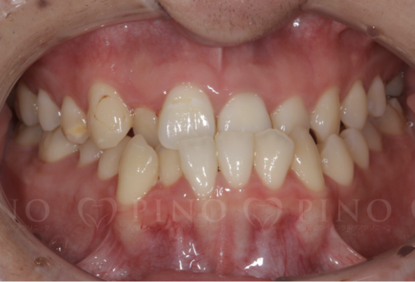
4.ガタガタ、八重歯 / 叢生(そうせい)

歯がガタガタに重なって生えている状態で、歯が生えてくるスペースが十分にない場合や、歯自体の大きさが大きい場合が考えられます。
八重歯も叢生の一つです。遺伝的な場合もありあすが、頬杖などのくせや噛み癖などが影響している場合もあります。
あるいは、乳歯のときの虫歯が原因で歯の位置や向きが変わりがたつきにつながる場合もあります。歯がガタガタに重なって生えているため、歯ブラシで磨きにくく虫歯や口臭の原因になることも。
5.口ゴボ / 上下顎前突(じょうげがくぜんとつ)

上と下の両方の顎が正常な状態よりも前に出ている状態で、横から見ると口元が膨らんで見えるるのが特徴です。
口を閉じにくく、口呼吸になりやすいため、口臭の原因になっていたり、審美的にも口ゴボの改善を求めてのご相談が多いです。
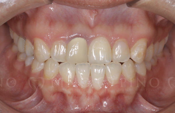
6.過蓋咬合(かがいこうごう)

噛んだ時に上の前歯が下の前歯を深く覆い過ぎている状態のことで、「ディープバイト」とも呼ばれています。
正しい噛み合わせでは、下の歯に上の歯が1〜3mm程度重なるのが通常ですが、ディープバイトの方は上の歯が下の歯を覆ってしまいほとんど見えません。
虫歯や歯周病だけでなく、顎関節症のトラブルが多かったり、被せ物が割れたりするようなトラブルも多いので、夜間のナイトガードを使用いただくのがおすすめの歯並びの1つです。
7.交差咬合(こうさこうごう)

左右どちらかで、上下の噛み合わせが逆転している状態を指します。上下の顎の大きさのバランスが違うことが原因として挙げられますが、その1つに子供の成長期の時期に頬杖をつく癖があるとこのような左右非対称なあごになるため注意が必要です。
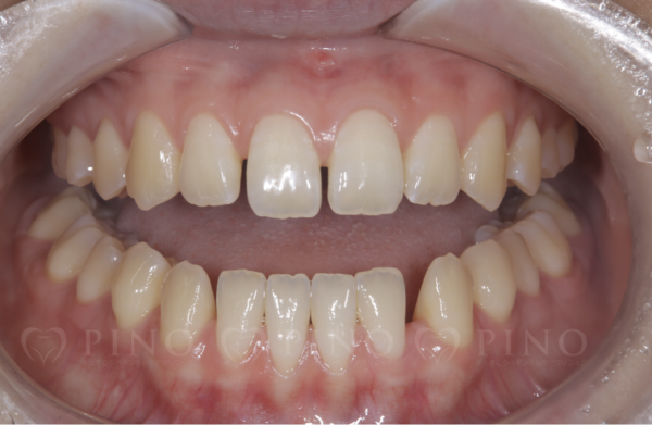
8.すきっ歯 / 空隙歯列(くうげきしれつ)

歯と歯の間に隙間がある状態で、顎の大きさに比べて歯が小さかったり、上唇小帯という唇との間のひだの発育異常が原因です。
空隙歯列の方は、歯と歯の間に汚れが溜まりやすくなっているので、注意が必要です、また、空気が漏れるため滑舌が悪くなる原因となっていることも。
9.切端咬合(せったんこうごう)

上下の前歯が切端同士で当たっている状態のことを指します。前歯の歯先がかけたるするトラブルを起こしやすい状態です。
あなたの歯並びにあった治療法は?
みなさまの歯並びで当てはまるものはありましたでしょうか?
矯正治療には大きく分けてワイヤーを使うワイヤー矯正とマウスピース型の矯正装置を用いたマウスピース矯正があります。
マウスピース矯正ができる歯並びは?
マウスピース矯正は、ワイヤー矯正と違い歯の表面に器具を取り付けるのではなく、透明のプラスチックでできているマウスピースを交換していき、歯を動かしていく方法です。
マウスピースは透明で、装着していても周りの方から気づかれずに矯正治療を行うことができるため、接客業や人前に出る仕事の方にも人気です!
実は先程ご紹介させていただいた歯並びは全てマウスピースでの矯正治療が可能です!
前歯だけで行う簡単で安価なマウスピース矯正では難しいですが、きちんとした診断のもと治療計画を立てることで抜歯が必要な方やがたつきが強い方もマウスピースでの矯正治療を行うことが可能です。
マウスピース矯正ができない歯並びは?
骨格的なズレが大きい場合
骨格的に大きな不正がある場合は歯だけで改善することが難しいため、マウスピース矯正での治療はおすすめできません。骨格的な問題点などの診断をした上で、外科矯正などが必要になることもあります。
このため、マウスピース矯正での治療を行う場合は、骨格的な問題がないかも診断のポイントとなります。
大きく回転している、傾いている歯がある場合
1本だけ大きく回転している歯や歯が抜けたスペースに大きく傾いている歯はマウスピースを使った矯正だけで改善することは難しい場合があります。当院では、マウスピースでの矯正力がかかりにくい場合は、マウスピースと合わせてワイヤー矯正で使用する器具を併用したりしながら治療を行なっております。気になる方は一度ご相談ください。
神戸マウスピース矯正をするならPINO!
PINOでは、栄子先生が一人一人の生活スタイルに合った治療計画をご提案させていただきます!
マウスピース矯正をお考えの方は、ぜひ一度無料カウンセリングにお越しくださいませ!
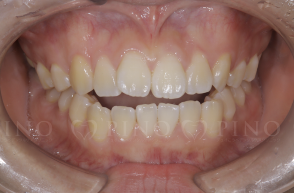
当院では、無料カウンセリングの際にシュミレーションも行っております。実際に矯正治療を終えた後と現在の顔貌と歯並びをご覧いただけます。これモチベーションに一緒にマウスピース矯正頑張ってみませんか?
ご予約は公式LINE・ホームページ・お電話にて承っております♪
お気軽にお越しくださいませ!
皆さまのご来院をお待ちしております!
