目次
みなさま、こんにちは!
早速ですが、歯周病ってどんな病気かご存知ですか?
なんとなく知っている、聞いたことはある、と言う方が多いと思います!
実は歯周病は自覚症状が少ないまま進行する「サイレントディジーズ(静かなる病気)」とも言われているとても怖い病気なのです!
まだ自分は歯周病ではない!歯が痛くないから大丈夫!と思っているも、気づかないうちに歯周病になっているかもしれません!
今回は歯周病についてお話ししていこうと思います!
歯周病ってどんな病気?
そもそも歯周病ってどんな病気なのでしょうか。
歯周病とは、歯ぐきや歯を支える骨に影響を与える感染症です。最初は軽い炎症から始まり、放置すると歯を失う原因にもなる恐ろしい病気です。
この歯周病は、歯と歯ぐきの間にあるプラーク(細菌のかたまり)が引き起こす病気です。
歯周病の進行段階・症状とは
歯周病は進行段階があり、段階によって症状が異なります。
初期ではほとんど自覚症状がないことが多く、知らない間に進行してしまっているところが歯周病の怖いところ。
1.初期 歯肉炎

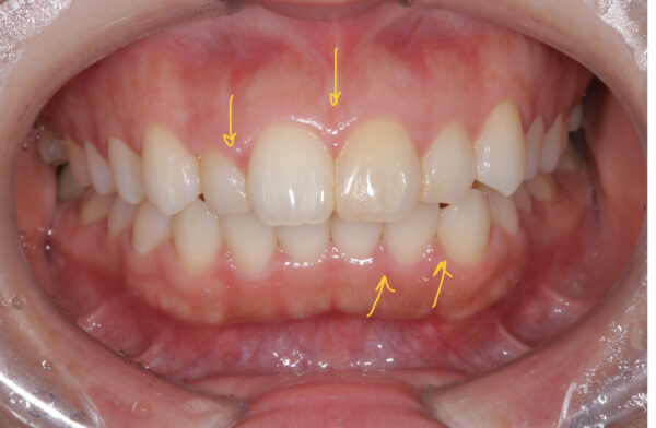
歯周病の初期段階では、歯の周りに溜まってくる歯垢や歯石が原因で歯ぐきが赤く炎症を起こします。
歯肉炎の症状は、歯ぐきが赤く腫れ、歯磨きやフロスを通した際に出血することがあります。痛みほとんどないので、この段階ではトラブルに気づく方はほとんどおらず、歯医者さんの検診で指摘されて気づくことも。
歯医者さんでに専門的な歯の周りのクリーニングを行なってもらったり、正しい歯磨きを身につけることで歯肉炎は改善か可能です。
2.中度の歯周病 歯周炎
歯肉炎が進行すると炎症が深くなり、歯を支える骨にも影響を与え始めます。
歯周炎になると、歯ぐきがさらに腫れて膿が出ることもあり、歯ブラシにより出血したりすることがあります。歯茎が痩せることで歯と歯の間に隙間が広がり、汚れが溜まりやすくなることで、口臭の原因となることもあります。
歯周炎も痛みがないことが多く、自覚症状が少ないため、知らないうちに進行してしまうことが多いです。
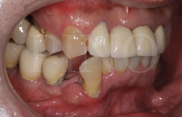
3.重度の歯周病(歯周病末期)
重度の歯周病は歯の損失が大きく、歯がグラつくようになります。最終的には歯を支えきれなくなり、歯が抜けてしまうこともあります。
膿が出ることもあり、強い口臭も発生します。

歯周病の見逃しがちな要注意サイン
出血はあるけど痛みがなければ大丈夫!?
歯周病は冒頭でもお伝えしたとおり、自覚症状が少ないまま進行する病気です。
痛みをほとんど感じないので、歯磨きを強くしすぎたから血が出たのかな?程度に感じる方が多いかと思いますが、違和感を感じたら放置せずに、まずは歯医者で診てもらいましょう!
腫れていたけれど、しばらくしたら落ち着いた!
歯ぐきが腫れて痛みがあり歯医者さんに行こうかな?と思っているうちに症状が改善して歯医者に行くのを忘れていた、なんて方はいらっしゃいませんか?治った、と思いがちですが、これは実は歯周病が治ったわけではなく、ご自身の免疫で痛みを押さえているだけで、歯周病はゆっくりと進行しているので要注意。
家族に口が臭いと言われたけれど、みんな一緒でしょ?
口臭にはさまざまな原因がありますが、歯周病も口臭の原因の一つです。
歯周病の口臭とは一体どんなニオイなのかと言うと、「腐った卵」「腐った玉ねぎ」「生ごみ」のようなニオイが発生すると言われています。
周りの方に指摘されるような口臭が気になる場合は自己判断せずに歯科医院で相談し、適切な診断と治療を受けることが大切です!
歯ぐきが下がって歯がしみるのも、実は歯周病の可能性が!
歯周病は、歯ぐきが下がる主な原因の一つです。
歯周病によって歯ぐきが炎症を起こし、進行すると歯を支える骨が破壊され、歯ぐきが退縮します。
歯ぐきが下がると、歯の根元が露出することで刺激が神経に伝わりやすくなり、歯がしみることがあります。
これらも実は歯周病の可能性があるので、要注意です!
歯周病は早期発見・早期治療がカギ!
歯周病は気付きにくいからこそ、少しでも違和感を感じたら歯科医院へ行って検診を受けることが大切です!
初期段階であれば、簡単なクリーニングや歯磨きでも治すことができます!
当院ではパウダークリーニングの際に、必ず歯周病の検査を行なっております。
歯ぐきのポケットの深さ、出血も確認し、セルフケア方法も丁寧にお伝えしておりますので、実は歯周病かも?とこのブログを見て思った方は、ぜひお気軽に当院へお越しくださいませ!
ご予約はこちらから!簡単なLINEご予約も可能です!
みなさまのご来院お待ちしております♪
